手机应用
微信
微博
QQ群
普通登陆
QQ登录
找回密码
注册
登录
好友
帖子
收藏
道具
勋章
任务
搜索
搜索
本版
文章
帖子
用户
影像医生
也能
网上问诊
了
首页
社区
BBS
新闻
读片会
影像图库
锐滴达
医影在线
»
社区
›
guangbo_cate
›
guangbo_forum
›
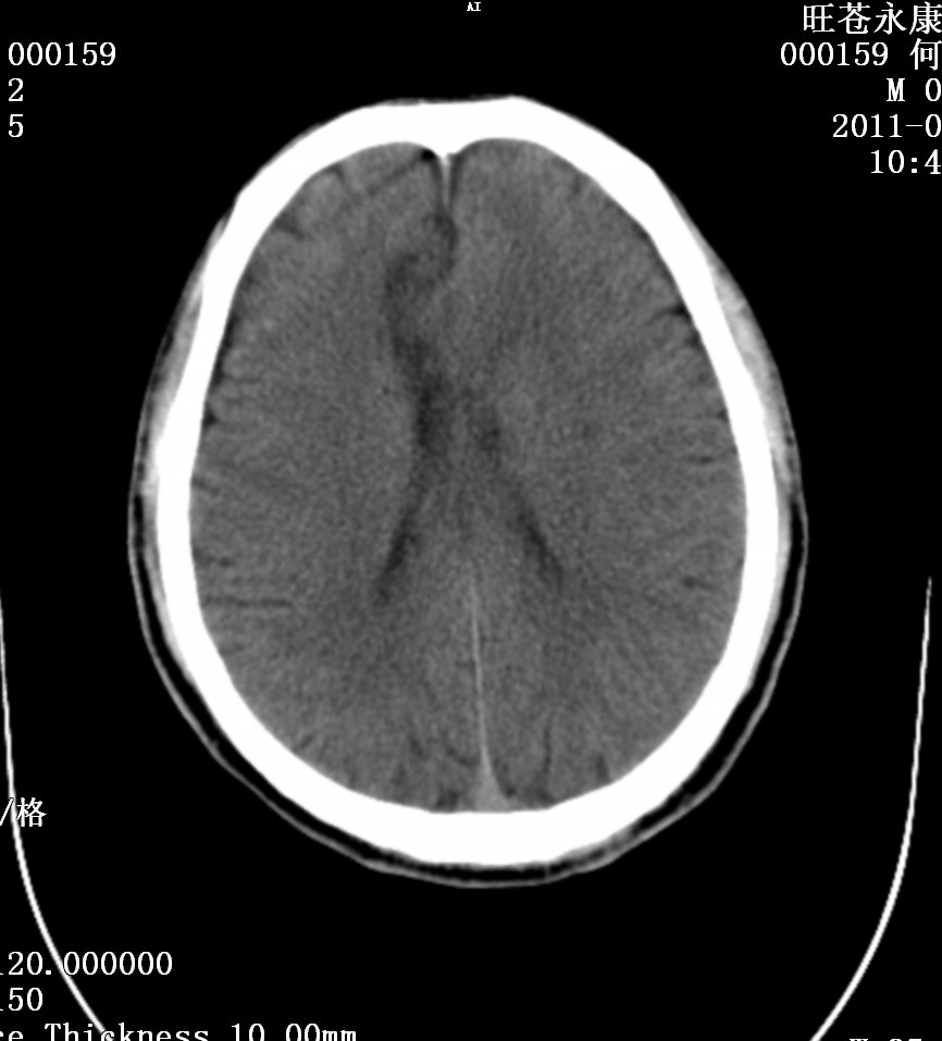
大家帮忙看看,男.69岁,下肢麻木
大家帮忙看看,男.69岁,下肢麻木
查看数:
455
|
评论数:
0
|
收藏
0
关灯
|
提示:支持键盘翻页<-左 右->
帖子模式
组图打开中,请稍候......
收藏
0
赞同
0
反对
0
宋国琴
发布时间:
2011-1-5 13:52
正文摘要:
大家帮忙看看,男.69岁,下肢麻木
回复
快速回复
返回顶部
返回列表