手机应用
微信
微博
QQ群
普通登陆
QQ登录
找回密码
注册
登录
好友
帖子
收藏
道具
勋章
任务
搜索
搜索
本版
文章
帖子
用户
影像医生
也能
网上问诊
了
首页
社区
BBS
新闻
读片会
影像图库
锐滴达
医影在线
»
社区
›
影像读片
›
CT病例讨论
›
CT49600:中上腹CT
CT49600:中上腹CT
查看数:
793
|
评论数:
5
|
收藏
0
关灯
|
提示:支持键盘翻页<-左 右->
帖子模式
组图打开中,请稍候......
收藏
0
赞同
0
反对
0
ldm1993
发布时间:
2014-12-19 17:42
正文摘要:
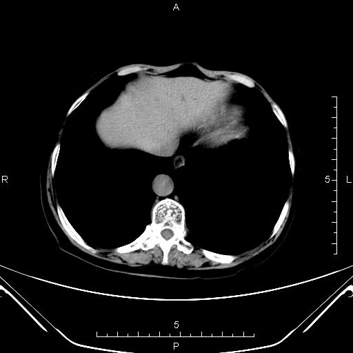
本帖最后由 ldm1993 于 2014-12-19 18:47 编辑 女,77岁,胆囊切除术后1个月,中上腹不适1周,胃镜示:十二指肠乳头上见一广基粘膜下隆起,乳头口粘膜绒毛状结节不平。 ...
回复
流星1234
发表于
2014-12-23 20:37
支持壶腹癌
支持
收藏
0
shibing
发表于
2014-12-22 10:26
考虑十二指肠乳头腺癌,伴胰头周围淋巴结转移可能。
支持
收藏
0
难听
发表于
2014-12-21 22:06
两处病灶,从强化方式上看,考虑十二指肠乳头腺癌,伴胰头周围淋巴结转移可能。
支持
收藏
0
c123456
发表于
2014-12-20 17:26
壶腹部
wyingzheng
发表于
2014-12-20 13:44
腹腔感染,脓肿形成。
支持
收藏
0
快速回复
返回顶部
返回列表