手机应用
微信
微博
QQ群
普通登陆
QQ登录
找回密码
注册
登录
好友
帖子
收藏
道具
勋章
任务
搜索
搜索
本版
文章
帖子
用户
影像医生
也能
网上问诊
了
首页
社区
BBS
新闻
读片会
影像图库
锐滴达
医影在线
»
社区
›
影像读片
›
CT病例讨论
›
CT49612:乳腺癌术后一年复查
CT49612:乳腺癌术后一年复查
查看数:
760
|
评论数:
6
|
收藏
0
关灯
|
提示:支持键盘翻页<-左 右->
帖子模式
组图打开中,请稍候......
收藏
0
赞同
0
反对
0
asyzhky
发布时间:
2014-12-22 13:09
正文摘要:
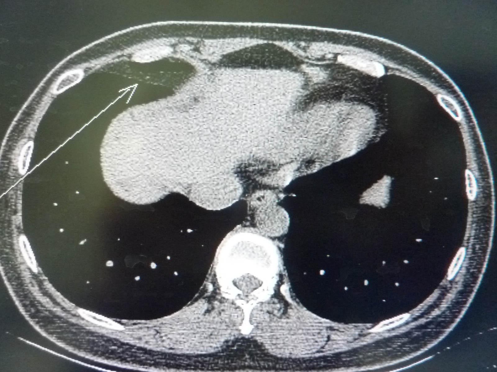
右肺内箭头指示是斜裂增厚?
回复
shibing
发表于
2014-12-23 09:27
胸膜或韧带,无意义
支持
收藏
0
leiheku
发表于
2014-12-23 08:57
胸膜或韧带,无意义
支持
收藏
0
施明
发表于
2014-12-23 08:09
肺下韧带
gs-cds
发表于
2014-12-22 22:34
在斜裂走行区域,纵隔窗与脂肪同密度,可能就是局部胸膜脂肪增厚了,无什么临床意义。
支持
收藏
0
当幸福来敲门
发表于
2014-12-22 20:29
韧带
景怡
发表于
2014-12-22 18:43
叶间胸膜增厚。
支持
收藏
0
快速回复
返回顶部
返回列表