手机应用
微信
微博
QQ群
普通登陆
QQ登录
找回密码
注册
登录
好友
帖子
收藏
道具
勋章
任务
搜索
搜索
本版
文章
帖子
用户
影像医生
也能
网上问诊
了
首页
社区
BBS
新闻
读片会
影像图库
锐滴达
医影在线
»
社区
›
影像读片
›
CT病例讨论
›
CT49618:膝关节
CT49618:膝关节
查看数:
1521
|
评论数:
7
|
收藏
0
关灯
|
提示:支持键盘翻页<-左 右->
帖子模式
组图打开中,请稍候......
收藏
0
赞同
0
反对
0
liuxiaolei12
发布时间:
2014-12-22 23:43
正文摘要:
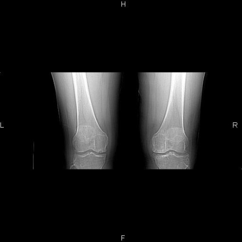
女 48岁,疼痛数月,加重,无明确病史
回复
cfililiu
发表于
2014-12-24 16:06
骨性关节炎
支持
收藏
0
摘星空竹子
发表于
2014-12-23 21:20
双膝关节退行性变。
支持
收藏
0
景怡
发表于
2014-12-23 18:44
膝关节退行性变。
支持
收藏
0
天路人
发表于
2014-12-23 13:22
退变.
leiheku
发表于
2014-12-23 11:57
支持双膝退变
支持
收藏
0
shibing
发表于
2014-12-23 09:07
退变
施明
发表于
2014-12-23 08:02
退变
快速回复
返回顶部
返回列表