手机应用
微信
微博
QQ群
普通登陆
QQ登录
找回密码
注册
登录
好友
帖子
收藏
道具
勋章
任务
搜索
搜索
本版
文章
帖子
用户
影像医生
也能
网上问诊
了
首页
社区
BBS
新闻
读片会
影像图库
锐滴达
医影在线
»
社区
›
影像读片
›
CT病例讨论
›
CT49621:咽喉CT
CT49621:咽喉CT
查看数:
1108
|
评论数:
3
|
收藏
0
关灯
|
提示:支持键盘翻页<-左 右->
帖子模式
组图打开中,请稍候......
收藏
0
赞同
0
反对
0
lmm110
发布时间:
2014-12-23 13:47
正文摘要:
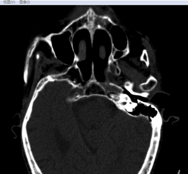
F85,吞咽、咬合无力,家人述因扁桃腺肿大治疗约10天。
回复
总十医
发表于
2014-12-26 11:21
软组织增厚 境界清晰 考虑淋巴瘤
支持
收藏
0
shibing
发表于
2014-12-26 09:08
喉前庭缩小,右侧咽隐窝扩大,左侧咽隐窝缩小甚至消失。
考虑喉部淋巴癌
支持
收藏
0
leiheku
发表于
2014-12-23 15:33
喉前庭缩小,右侧咽隐窝扩大,左侧咽隐窝缩小甚至消失。
考虑喉部淋巴癌
支持
收藏
0
快速回复
返回顶部
返回列表