手机应用
微信
微博
QQ群
普通登陆
QQ登录
找回密码
注册
登录
好友
帖子
收藏
道具
勋章
任务
搜索
搜索
本版
文章
帖子
用户
影像医生
也能
网上问诊
了
首页
社区
BBS
新闻
读片会
影像图库
锐滴达
医影在线
»
社区
›
影像读片
›
X线病例讨论
›
X13619:第二跖旁类圆形高密度影像,求解?在线等! ...
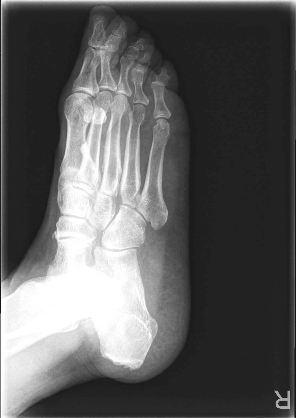
X13619:第二跖旁类圆形高密度影像,求解?在线等!
查看数:
2773
|
评论数:
15
|
收藏
0
关灯
|
提示:支持键盘翻页<-左 右->
帖子模式
组图打开中,请稍候......
收藏
0
赞同
0
反对
0
xpouyang
发布时间:
2014-12-26 09:24
正文摘要:
第二跖旁类圆形高密度影像,求解?
回复
sunbin
发表于
2014-12-29 18:02
右第二跖骨内侧局限性突起,考虑变异可能。
支持
1
收藏
0
mnbvcxz1234
发表于
2018-12-27 21:21
考虑正常变异
支持
收藏
0
lyming00
发表于
2015-1-9 21:25
右第二跖骨内侧局限性突起,考虑变异可能。
支持
收藏
0
依山蓝楼
发表于
2015-1-5 19:57
sunbin 发表于 2014-12-29 18:02
右第二跖骨内侧局限性突起,考虑变异可能。
支持
支持
收藏
0
qc80012345
发表于
2015-1-5 09:50
投照位置不是很理想,骨瘤。
支持
收藏
0
zjm赵建明
发表于
2015-1-4 20:39
皮质型骨瘤。
支持
收藏
0
rf
发表于
2015-1-4 19:18
骨突,变异。
tao772
发表于
2014-12-29 17:31
没事,子骨
在笑一方
发表于
2014-12-28 18:18
考虑正常变异
支持
收藏
0
快速回复
返回顶部
返回列表