手机应用
微信
微博
QQ群
普通登陆
QQ登录
找回密码
注册
登录
好友
帖子
收藏
道具
勋章
任务
搜索
搜索
本版
文章
帖子
用户
影像医生
也能
网上问诊
了
首页
社区
BBS
新闻
读片会
影像图库
锐滴达
医影在线
»
社区
›
影像读片
›
CT病例讨论
›
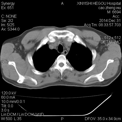
CT49662:男,38岁
CT49662:男,38岁
查看数:
673
|
评论数:
2
|
收藏
0
关灯
|
提示:支持键盘翻页<-左 右->
帖子模式
组图打开中,请稍候......
收藏
0
赞同
0
反对
0
chen10165
发布时间:
2014-12-31 15:04
正文摘要:
右肺下叶结节影
回复
shibing
发表于
2015-1-12 14:11
未见异常
heidaoren
发表于
2015-1-1 16:25
没看出问题。
支持
收藏
0
快速回复
返回顶部
返回列表