手机应用
微信
微博
QQ群
普通登陆
QQ登录
找回密码
注册
登录
好友
帖子
收藏
道具
勋章
任务
搜索
搜索
本版
文章
帖子
用户
影像医生
也能
网上问诊
了
首页
社区
BBS
新闻
读片会
影像图库
锐滴达
医影在线
»
社区
›
影像读片
›
CT病例讨论
›
CT49735:高血压、糠尿病多年
CT49735:高血压、糠尿病多年
查看数:
837
|
评论数:
8
|
收藏
0
关灯
|
提示:支持键盘翻页<-左 右->
帖子模式
组图打开中,请稍候......
收藏
0
赞同
0
反对
0
chinaboy_006
发布时间:
2015-1-11 16:57
正文摘要:
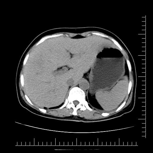
本帖最后由 cefcmj 于 2015-1-11 21:05 编辑 肝内占位病变
回复
施明
发表于
2015-1-12 13:22
像肝脓肿 腹膜后淋巴结液化
支持
收藏
0
hpdfxyz
发表于
2015-1-12 11:09
肝脓肿
shibing
发表于
2015-1-12 08:43
肝脓肿
改造社会
发表于
2015-1-12 08:31
多发肝脓肿
支持
收藏
0
abc258
发表于
2015-1-11 22:16
肝脓肿
摘星空竹子
发表于
2015-1-11 22:00
肝脓肿可能性大
支持
收藏
0
蒙面小猪
发表于
2015-1-11 18:37
先考虑肝脓肿,其次肝癌
来自安卓客户端
支持
收藏
0
师医生
发表于
2015-1-11 18:12
病人发烧吗?考虑感染性病灶,肝脓肿?
支持
收藏
0
快速回复
返回顶部
返回列表