手机应用
微信
微博
QQ群
普通登陆
QQ登录
找回密码
注册
登录
好友
帖子
收藏
道具
勋章
任务
搜索
搜索
本版
文章
帖子
用户
影像医生
也能
网上问诊
了
首页
社区
BBS
新闻
读片会
影像图库
锐滴达
医影在线
»
社区
›
影像读片
›
CT病例讨论
›
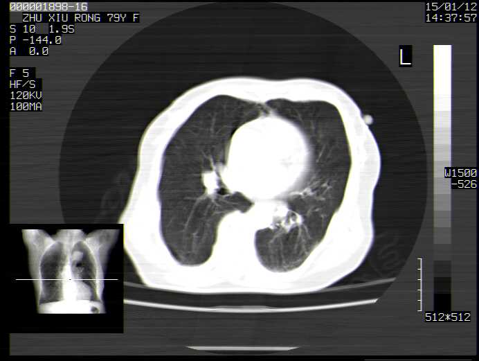
CT49741:请会诊 女 79岁
CT49741:请会诊 女 79岁
查看数:
820
|
评论数:
6
|
收藏
0
关灯
|
提示:支持键盘翻页<-左 右->
帖子模式
组图打开中,请稍候......
收藏
0
赞同
0
反对
0
lixiaohong8983
发布时间:
2015-1-12 14:51
正文摘要:
右胸痛 一周。
回复
smh0227
发表于
2015-1-12 15:55
慢性支气管炎合并左下肺炎症。肺气肿。
来自安卓客户端
支持
1
收藏
0
shibing
发表于
2015-1-13 11:20
慢支、肺气肿,左下肺炎症。
支持
收藏
0
施明
发表于
2015-1-13 08:52
老病
摘星空竹子
发表于
2015-1-12 21:36
慢支、肺气肿,左下肺炎症。
支持
收藏
0
依山蓝楼
发表于
2015-1-12 20:20
smh0227 发表于 2015-1-12 15:55
慢性支气管炎合并左下肺炎症。肺气肿。
支持
支持
收藏
0
影像新忍
发表于
2015-1-12 15:01
慢性支气管炎,肺气肿,支扩带排。
支持
收藏
0
快速回复
返回顶部
返回列表