医影在线

搜索

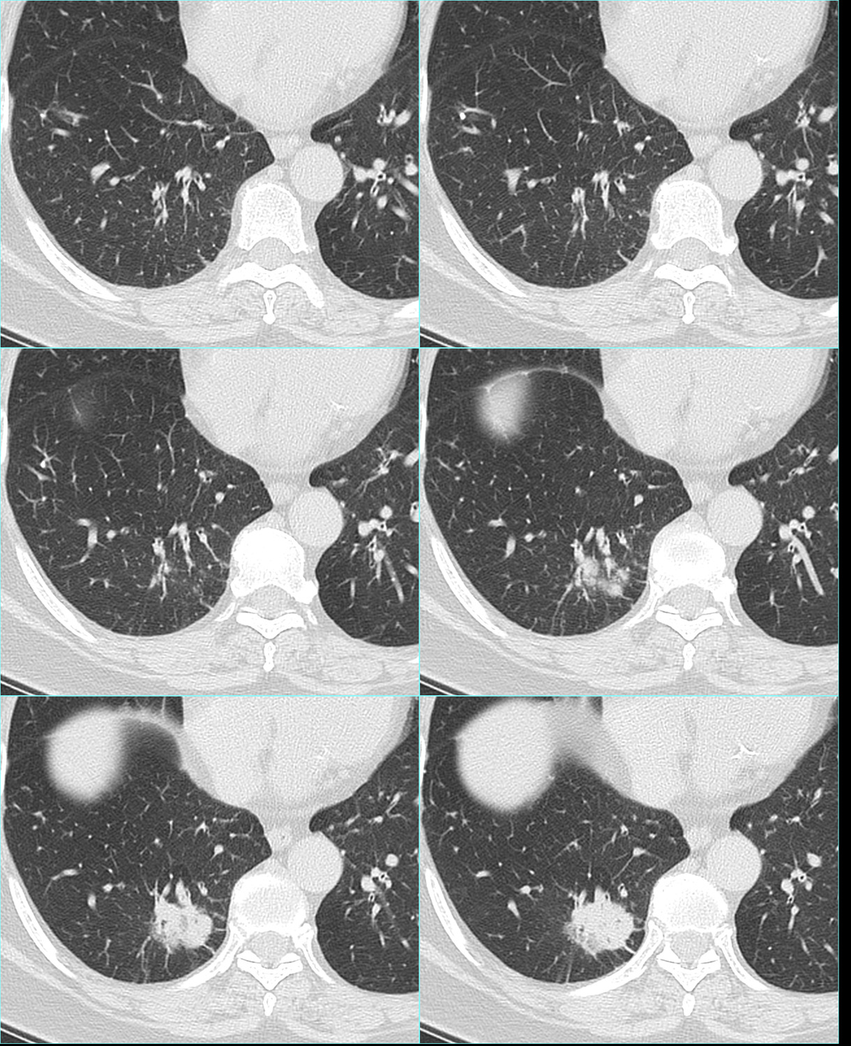
女69岁,咳嗽、咳痰、气喘、气短

查看数: 3956 | 评论数: 21 | 收藏 0
关灯 | 提示:支持键盘翻页<-左 右->
    组图打开中,请稍候......
发布时间: 2015-1-18 09:24

正文摘要:

患者于30年前无明显诱因出现咳嗽、咳痰、气喘、气短,呈阵发性,咳少许白粘痰,以活动后为著,无畏寒,发热,盗汗,胸痛等,曾多次在我院住院治疗,诊断为“慢性喘息型支气管炎”,给予抗炎,止咳,对症等治疗可好转 ...

回复

mnbvcxz1234 发表于 2020-2-17 19:47
右下肺见不规则结节影,边缘有毛刺及胸膜凹陷症。考虑:右下肺周围性肺癌。
mnbvcxz1234 发表于 2018-12-27 20:49
右下肺可见外形不规则结节,边缘见短细毛刺及胸膜凹陷,内见透光区,主动脉旁见结节,考虑右下肺占位------周围型肺癌伴淋巴结转移可能性大。
刘孟楠 发表于 2015-11-11 10:04
右下肺可见外形不规则软组织密度肿块,边缘毛糙可见浅分叶,短细毛刺及胸膜凹陷,密度不均匀内见透光区,邻近胸膜增厚,综合考虑周围型肺癌。
李仕雄 发表于 2015-3-28 11:05

考虑周围型肺癌。
renming 发表于 2015-2-6 15:50
考虑周围性肺CA
学者~『风』 发表于 2015-2-5 20:17
右下肺后基底段周围型肺Ca,像是良性病变慢慢恶化而来的。
shddywsl 发表于 2015-2-5 19:46
考虑结核。
jiangmin 发表于 2015-2-2 21:36
周围型肺癌可能性大,建议穿刺活检
wuyipeng0418 发表于 2015-2-2 16:47
神经源性的不能排除,胸膜来源的也不能排除,淋巴转移先考虑恶性。
快速回复 返回顶部 返回列表