手机应用
微信
微博
QQ群
普通登陆
QQ登录
找回密码
注册
登录
好友
帖子
收藏
道具
勋章
任务
搜索
搜索
本版
文章
帖子
用户
影像医生
也能
网上问诊
了
首页
社区
BBS
新闻
读片会
影像图库
锐滴达
医影在线
»
社区
›
影像读片
›
CT病例讨论
›
CT49782:上腹部CT
CT49782:上腹部CT
查看数:
1802
|
评论数:
13
|
收藏
0
关灯
|
提示:支持键盘翻页<-左 右->
帖子模式
组图打开中,请稍候......
收藏
0
赞同
0
反对
0
ldm1993
发布时间:
2015-1-19 17:27
正文摘要:
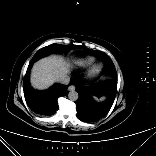
女,68岁,上腹部疼痛3天。
回复
wugenxing
发表于
2015-1-20 23:19
支持胆总管癌。扩张胆总管消失下方(胰腺段稍上方)见圆形结节影,延迟持续强化。
支持
收藏
0
kenhuso
发表于
2015-1-20 19:40
肝门胆管细胞癌。胆总管中断,局部见结节,增强后明显强化,以上肝内胆管扩张。唯一就是肝内胆管扩张程度轻了点。
来自安卓客户端
支持
收藏
0
wugenxing
发表于
2015-1-20 19:18
胆总管胰腺上段(扩张胆总管消失下方层面)内见结节影,延迟强化,符合胆总管癌。
支持
收藏
0
shibing
发表于
2015-1-20 16:12
胆管癌
施明
发表于
2015-1-20 13:47
胆管癌
leiheku
发表于
2015-1-20 08:43
肝内胆管多发扩张,考虑占位不排除,建议MRCP
泥沙样胆结石性胆囊炎
脾肿大
支持
收藏
0
枫岩
发表于
2015-1-20 08:12
支持1、胆总管上段结节影伴肝内胆管、左右肝管及肝总管扩张,占位性病变待排,建议MRCP或ERCP;
2、胆囊炎,胆囊结石;
支持
收藏
0
摘星空竹子
发表于
2015-1-19 23:14
支持1、胆总管上段结节影伴肝内胆管、左右肝管及肝总管扩张,占位性病变待排,建议MRCP或ERCP;
2、胆囊炎,胆囊结石;
支持
收藏
0
jiangmin
发表于
2015-1-19 23:03
建议MR检查(MRCP),以除外总胆管占位性病变
支持
收藏
0
快速回复
返回顶部
返回列表