手机应用
微信
微博
QQ群
普通登陆
QQ登录
找回密码
注册
登录
好友
帖子
收藏
道具
勋章
任务
搜索
搜索
本版
文章
帖子
用户
影像医生
也能
网上问诊
了
首页
社区
BBS
新闻
读片会
影像图库
锐滴达
医影在线
»
社区
›
影像读片
›
CT病例讨论
›
CT49791:何种肺部感染?请会诊
CT49791:何种肺部感染?请会诊
查看数:
1764
|
评论数:
7
|
收藏
0
关灯
|
提示:支持键盘翻页<-左 右->
帖子模式
组图打开中,请稍候......
收藏
0
赞同
0
反对
0
13961075695
发布时间:
2015-1-20 17:21
正文摘要:
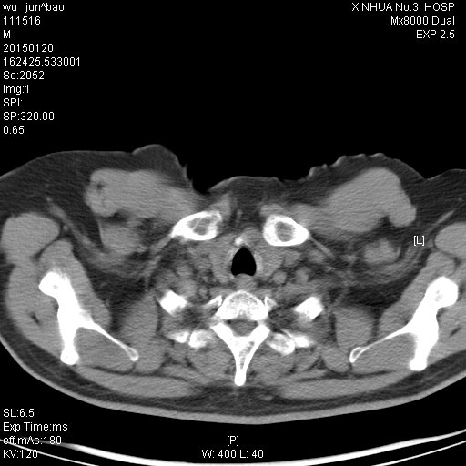
男,41岁,搬运工。咳嗽,咯血,低热。
回复
13961075695
发表于
2015-1-20 23:49
支持肺泡蛋白沉积症吗
支持
1
收藏
0
shibing
发表于
2015-1-22 14:49
机遇性肺炎?建议排查HIV
支持
收藏
0
施明
发表于
2015-1-22 08:44
机遇肺炎
leiheku
发表于
2015-1-21 09:29
机遇性肺炎?建议排查HIV
支持
收藏
0
依山蓝楼
发表于
2015-1-20 20:09
霉菌性感染?
支持
收藏
0
天路人
发表于
2015-1-20 18:17
支持楼上的见解。
支持
收藏
0
wugenxing
发表于
2015-1-20 18:13
这样的表现不像普通炎症与结核,像机遇性感染,住院病人的话先做个HIV检测看看,我见过几例这样表现的最后都是HIV阳性者,当然阴性也不能排除机遇性感染。
支持
收藏
0
快速回复
返回顶部
返回列表