手机应用
微信
微博
QQ群
普通登陆
QQ登录
找回密码
注册
登录
好友
帖子
收藏
道具
勋章
任务
搜索
搜索
本版
文章
帖子
用户
影像医生
也能
网上问诊
了
首页
社区
BBS
新闻
读片会
影像图库
锐滴达
医影在线
»
社区
›
影像读片
›
MRI病例讨论
›
MRI6551:大腿MRI.二周后结果公布.
MRI6551:大腿MRI.二周后结果公布.
查看数:
1724
|
评论数:
7
|
收藏
0
关灯
|
提示:支持键盘翻页<-左 右->
帖子模式
组图打开中,请稍候......
收藏
0
赞同
0
反对
0
liyf
发布时间:
2015-1-20 19:56
正文摘要:
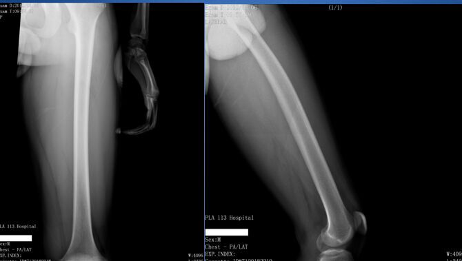
男,19岁,发现左大腿远端前内侧肿块一年.查体:左大腿膝上前内侧可触及一个大小约为3*6cm肿块,质中,活动差,有压痛.实验检查(-).
回复
pujunzhi
发表于
2015-2-2 10:57
病理结果:肌间血管瘤,伴血栓形成。
学习了!谢谢!
支持
收藏
0
liyf
发表于
2015-1-31 21:03
病理结果:肌间血管瘤,伴血栓形成.
支持
收藏
0
pujunzhi
发表于
2015-1-22 16:31
考虑 左大腿内侧软组织恶性肿瘤,脂肪肉瘤可能性大。
支持
收藏
0
shibing
发表于
2015-1-22 14:54
色绒
施明
发表于
2015-1-22 11:25
色绒
wugenxing
发表于
2015-1-20 23:59
病变内见T1、T2低信号,说明有含铁血红素沉积或钙化,病变靠近关节囊,考虑膝关节色素沉着绒毛结节性滑膜炎。
支持
收藏
0
依山蓝楼
发表于
2015-1-20 20:34
考虑为血管瘤
支持
收藏
0
快速回复
返回顶部
返回列表