手机应用
微信
微博
QQ群
普通登陆
QQ登录
找回密码
注册
登录
好友
帖子
收藏
道具
勋章
任务
搜索
搜索
本版
文章
帖子
用户
影像医生
也能
网上问诊
了
首页
社区
BBS
新闻
读片会
影像图库
锐滴达
医影在线
»
社区
›
影像读片
›
CT病例讨论
›
CT49815:肾上腺
CT49815:肾上腺
查看数:
1619
|
评论数:
13
|
收藏
0
关灯
|
提示:支持键盘翻页<-左 右->
帖子模式
组图打开中,请稍候......
收藏
0
赞同
0
反对
0
草上飞.
发布时间:
2015-1-23 17:28
正文摘要:
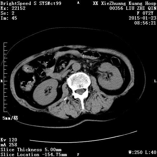
本帖最后由 cefcmj 于 2015-1-23 19:53 编辑 腹痛,腹胀,恶心,腰背痛2月余。胸部及盆腔无异常。化验室检查无有价值表现。无明显内分泌临床症状。 ...
回复
mnbvcxz1234
发表于
2020-3-2 11:36
双侧肾上腺嗜铬细胞瘤恶变
支持
收藏
0
shibing
发表于
2015-1-26 08:39
转移
施明
发表于
2015-1-26 08:26
双侧肾上腺转移瘤
支持
收藏
0
jw_830
发表于
2015-1-25 20:39
考虑肾上腺转移瘤可能
支持
收藏
0
雪个
发表于
2015-1-25 09:36
考虑胃癌肾上腺转移
支持
收藏
0
响堂
发表于
2015-1-25 08:59
转移
来自安卓客户端
支持
收藏
0
renming
发表于
2015-1-25 08:36
双侧肾上腺嗜铬细胞瘤恶变
支持
收藏
0
蒙面小猪
发表于
2015-1-25 00:45
嗜铬
来自安卓客户端
支持
收藏
0
天路人
发表于
2015-1-24 20:55
双侧肾上腺嗜铬细胞瘤恶变可能。
支持
收藏
0
快速回复
返回顶部
返回列表