手机应用
微信
微博
QQ群
普通登陆
QQ登录
找回密码
注册
登录
好友
帖子
收藏
道具
勋章
任务
搜索
搜索
本版
文章
帖子
用户
影像医生
也能
网上问诊
了
首页
社区
BBS
新闻
读片会
影像图库
锐滴达
医影在线
»
社区
›
影像读片
›
CT病例讨论
›
CT49858:右下腹部肿块,性质?
CT49858:右下腹部肿块,性质?
查看数:
934
|
评论数:
6
|
收藏
0
关灯
|
提示:支持键盘翻页<-左 右->
帖子模式
组图打开中,请稍候......
收藏
0
赞同
0
反对
0
心愿
发布时间:
2015-1-30 08:12
正文摘要:
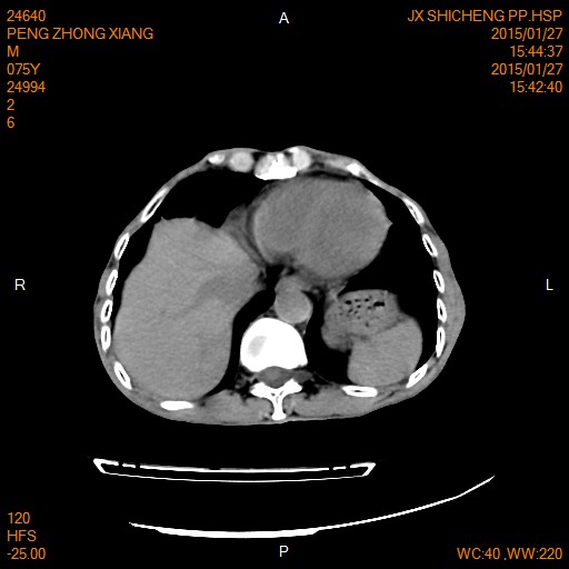
男性,75岁。发现右下腹部包块一周。
回复
总十医
发表于
2015-2-2 11:29
应该来源于肠系膜
支持
收藏
0
施明
发表于
2015-2-2 10:31
系膜病变?
天路人
发表于
2015-1-30 17:26
1、右侧结肠癌。
2、胆囊结石伴慢性胆囊炎。
支持
收藏
0
摘星空竹子
发表于
2015-1-30 17:17
1、考虑炎性包块。
2、胆总管扩张。
支持
收藏
0
wugenxing
发表于
2015-1-30 16:59
病变位于肝十二指肠韧带内及肝下间隙内,延迟持续强化,并见环形强化,另间隙内见无强化液体,有条索状影,肾周筋膜增厚。从病变及周围改变来看倾向于炎性包块(含炎性肉芽组织),这个部位炎性包块以上消化道穿孔多见,顶部见一小气泡是肠内还是肠外不好确定。
支持
收藏
0
leiheku
发表于
2015-1-30 16:07
结肠癌或间质瘤
支持
收藏
0
快速回复
返回顶部
返回列表