手机应用
微信
微博
QQ群
普通登陆
QQ登录
找回密码
注册
登录
好友
帖子
收藏
道具
勋章
任务
搜索
搜索
本版
文章
帖子
用户
影像医生
也能
网上问诊
了
首页
社区
BBS
新闻
读片会
影像图库
锐滴达
医影在线
»
社区
›
影像读片
›
CT病例讨论
›
CT49865:胆囊是什么病变?
CT49865:胆囊是什么病变?
查看数:
719
|
评论数:
5
|
收藏
0
关灯
|
提示:支持键盘翻页<-左 右->
帖子模式
组图打开中,请稍候......
收藏
0
赞同
0
反对
0
zxczxc
发布时间:
2015-2-1 09:01
正文摘要:
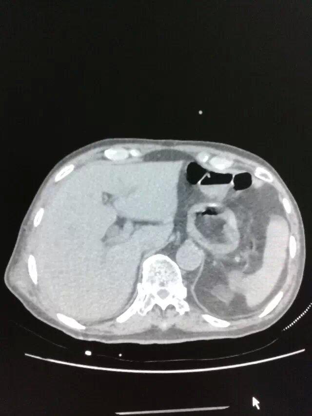
女,56岁,胆囊是什么病变?
回复
leiheku
发表于
2015-2-2 10:26
胆囊结石性胆囊炎
胆囊息肉?
建议结合彩超
支持
1
收藏
0
shibing
发表于
2015-2-2 08:32
增强扫描
黄维
发表于
2015-2-1 18:51
胆囊占位?胆囊结石 胆总管扩张,建议增强扫描
支持
收藏
0
731208
发表于
2015-2-1 10:53
本帖最后由 731208 于 2015-2-1 10:55 编辑
胆囊炎、胆囊结石。
胆总管结石伴胆总管扩张。
来自安卓客户端
支持
收藏
0
响堂
发表于
2015-2-1 09:35
胆囊结石,胆囊炎,胆囊占位?
来自安卓客户端
支持
收藏
0
快速回复
返回顶部
返回列表