手机应用
微信
微博
QQ群
普通登陆
QQ登录
找回密码
注册
登录
好友
帖子
收藏
道具
勋章
任务
搜索
搜索
本版
文章
帖子
用户
影像医生
也能
网上问诊
了
首页
社区
BBS
新闻
读片会
影像图库
锐滴达
医影在线
»
社区
›
影像读片
›
CT病例讨论
›
CT49876:肝癌?请各位老师会诊
CT49876:肝癌?请各位老师会诊
查看数:
1459
|
评论数:
8
|
收藏
0
关灯
|
提示:支持键盘翻页<-左 右->
帖子模式
组图打开中,请稍候......
收藏
0
赞同
1
反对
0
此人不败
发布时间:
2015-2-3 12:10
正文摘要:
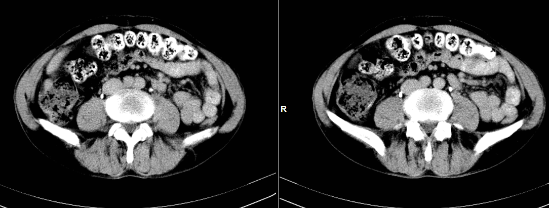
男性,61岁,体检发现肝占位,自觉腹胀一月余。
回复
枫岩
发表于
2015-2-6 08:03
原发肝癌伴转移
支持
收藏
0
响堂
发表于
2015-2-5 22:56
afp
来自安卓客户端
支持
收藏
0
shibing
发表于
2015-2-4 10:51
肝癌
施明
发表于
2015-2-4 09:19
癌
jiangmin
发表于
2015-2-3 23:35
肝癌伴肝内转移可能性大,不除外转移瘤
支持
收藏
0
摘星空竹子
发表于
2015-2-3 21:14
考虑肝癌伴肝内转移,不除外均为转移瘤。
支持
收藏
0
雪个
发表于
2015-2-3 15:33
原发肝细胞癌,支持
支持
收藏
0
leiheku
发表于
2015-2-3 15:20
原发肝细胞癌
支持
收藏
0
快速回复
返回顶部
返回列表