手机应用
微信
微博
QQ群
普通登陆
QQ登录
找回密码
注册
登录
好友
帖子
收藏
道具
勋章
任务
搜索
搜索
本版
文章
帖子
用户
影像医生
也能
网上问诊
了
首页
社区
BBS
新闻
读片会
影像图库
锐滴达
医影在线
»
社区
›
影像读片
›
CT病例讨论
›
CT49877:肺部
CT49877:肺部
查看数:
866
|
评论数:
9
|
收藏
0
关灯
|
提示:支持键盘翻页<-左 右->
帖子模式
组图打开中,请稍候......
收藏
0
赞同
0
反对
0
liuxiaolei12
发布时间:
2015-2-3 15:06
正文摘要:
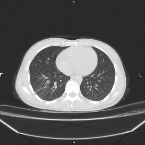
女 30岁,半月前发热39度,血沉71,抗炎治疗半月,一直下午低热37.5
回复
虫子波
发表于
2015-2-4 11:19
斜裂好像在前面吧 首诊一般先考虑炎症性病变
支持
1
收藏
0
小阿
发表于
2015-2-4 10:29
病灶在叶间裂位置,而且密度也不怎么高,所以我考虑是叶间积液,但看病史像是结核,还是做个痰检再确诊。
来自苹果客户端
支持
收藏
0
施明
发表于
2015-2-4 09:15
结核?查查别处
支持
收藏
0
smh0227
发表于
2015-2-4 08:52
炎症。
飘影_qGNUy
发表于
2015-2-3 22:12
结合病史考虑结核
支持
收藏
0
jw_830
发表于
2015-2-3 21:22
炎症
摘星空竹子
发表于
2015-2-3 21:01
支持结核灶
支持
收藏
0
happyverycd
发表于
2015-2-3 20:57
叶间积液?
晓杰
发表于
2015-2-3 17:02
结核灶
快速回复
返回顶部
返回列表