手机应用
微信
微博
QQ群
普通登陆
QQ登录
找回密码
注册
登录
好友
帖子
收藏
道具
勋章
任务
搜索
搜索
本版
文章
帖子
用户
影像医生
也能
网上问诊
了
首页
社区
BBS
新闻
读片会
影像图库
锐滴达
医影在线
»
社区
›
影像读片
›
CT病例讨论
›
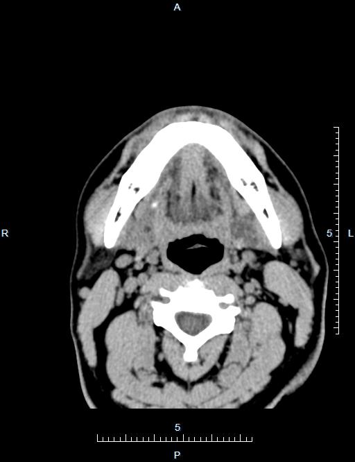
CT49883:颌下腺CT
CT49883:颌下腺CT
查看数:
1701
|
评论数:
7
|
收藏
0
关灯
|
提示:支持键盘翻页<-左 右->
帖子模式
组图打开中,请稍候......
收藏
0
赞同
0
反对
0
ldm1993
发布时间:
2015-2-4 20:25
正文摘要:
男,41岁,右侧颌下腺肿大1个月。
回复
晓杰
发表于
2015-2-6 08:57
考虑 颌下腺腺瘤
支持
收藏
0
shibing
发表于
2015-2-5 11:49
炎性
leiheku
发表于
2015-2-5 11:40
右腮腺多形性腺瘤或混合瘤
支持
收藏
0
施明
发表于
2015-2-5 08:12
右侧颌下腺炎性肿大?
支持
收藏
0
摘星空竹子
发表于
2015-2-4 22:19
颌下腺炎性病变可能性大
支持
收藏
0
leizj110
发表于
2015-2-4 21:29
学习了解剖很重要
支持
收藏
0
总十医
发表于
2015-2-4 20:53
颌下腺腺瘤伴结石可能
支持
收藏
0
快速回复
返回顶部
返回列表