手机应用
微信
微博
QQ群
普通登陆
QQ登录
找回密码
注册
登录
好友
帖子
收藏
道具
勋章
任务
搜索
搜索
本版
文章
帖子
用户
影像医生
也能
网上问诊
了
首页
社区
BBS
新闻
读片会
影像图库
锐滴达
医影在线
»
社区
›
影像读片
›
CT病例讨论
›
CT49913:女,58,左乳腺触及包块,质硬,感觉疼 ...
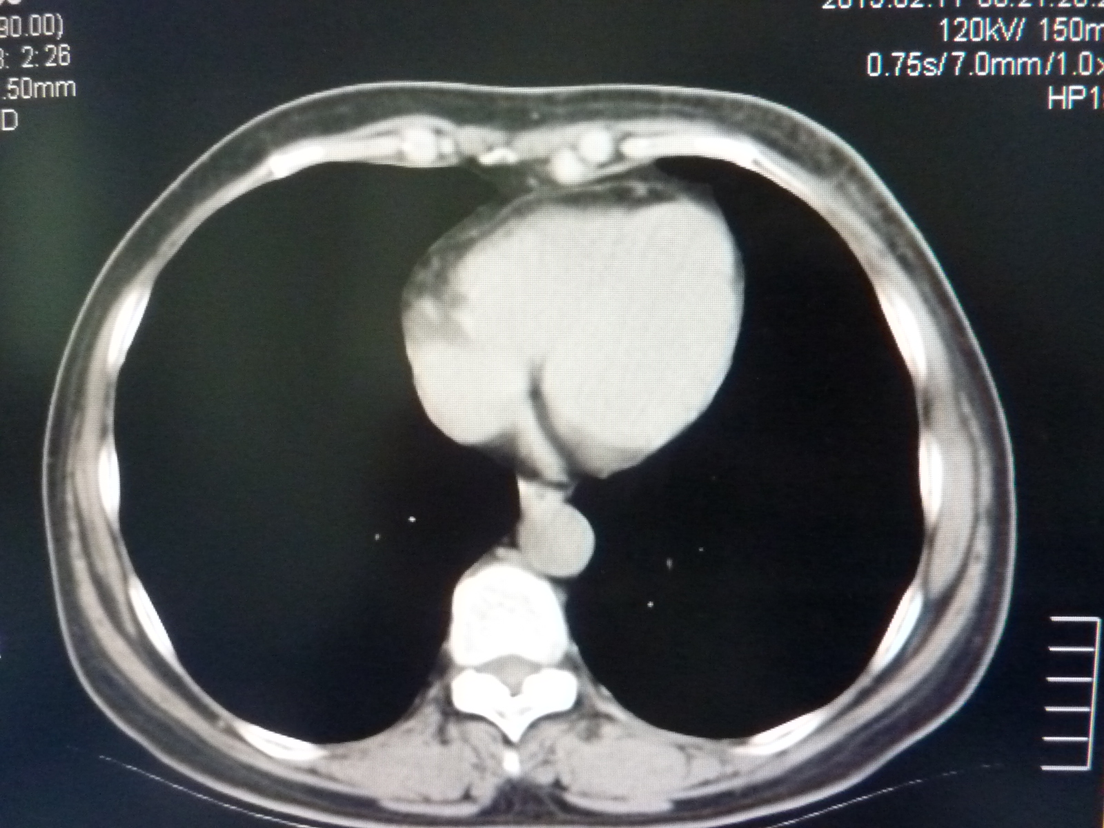
CT49913:女,58,左乳腺触及包块,质硬,感觉疼
查看数:
759
|
评论数:
2
|
收藏
0
关灯
|
提示:支持键盘翻页<-左 右->
帖子模式
组图打开中,请稍候......
收藏
0
赞同
0
反对
0
asyzhky
发布时间:
2015-2-11 13:59
正文摘要:
本帖最后由 cefcmj 于 2015-2-13 07:38 编辑 怎么看着是感染,有肿瘤没?
回复
施明
发表于
2015-2-13 10:09
未见块
shibing
发表于
2015-2-12 15:18
增生
快速回复
返回顶部
返回列表