手机应用
微信
微博
QQ群
普通登陆
QQ登录
找回密码
注册
登录
好友
帖子
收藏
道具
勋章
任务
搜索
搜索
本版
文章
帖子
用户
影像医生
也能
网上问诊
了
首页
社区
BBS
新闻
读片会
影像图库
锐滴达
医影在线
»
社区
›
影像读片
›
CT病例讨论
›
CT49993:上腹部、
CT49993:上腹部、
查看数:
759
|
评论数:
5
|
收藏
0
关灯
|
提示:支持键盘翻页<-左 右->
帖子模式
组图打开中,请稍候......
收藏
0
赞同
0
反对
0
景怡
发布时间:
2015-3-3 11:00
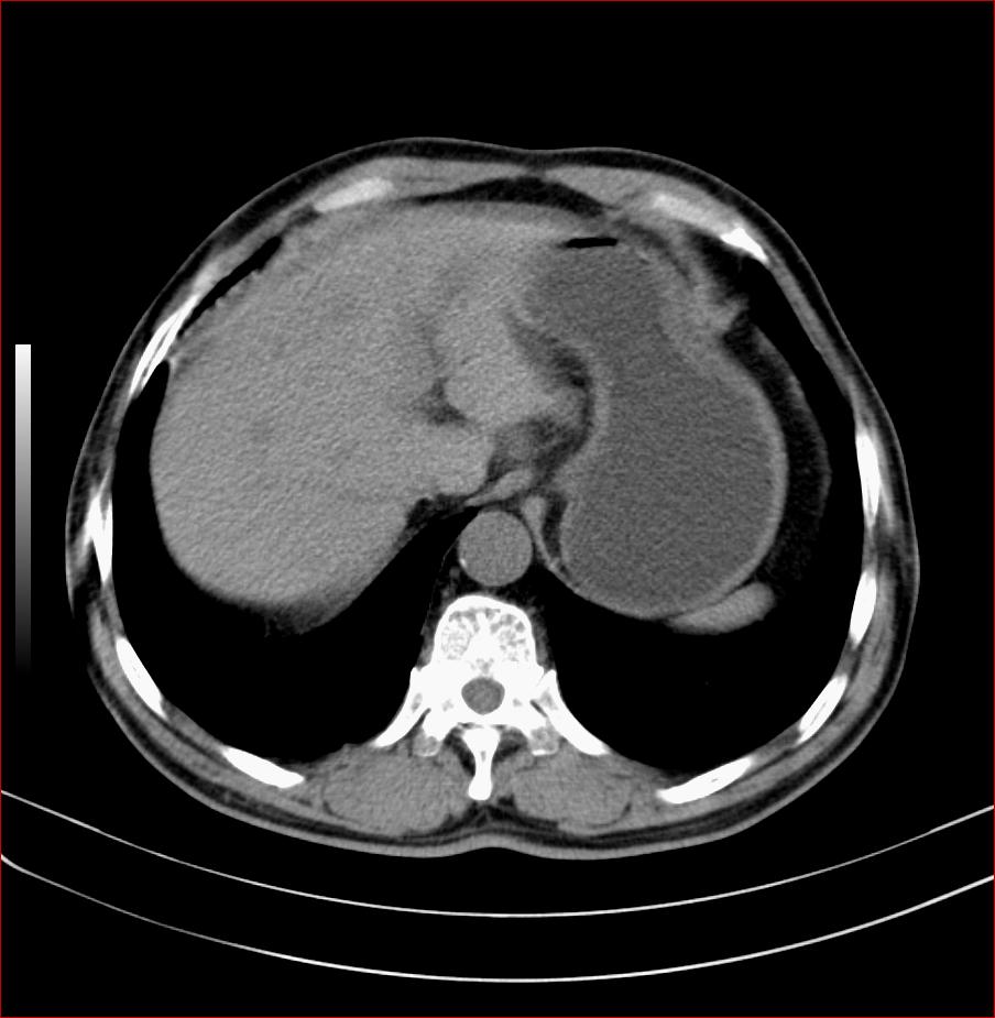
正文摘要:
男性、63岁,上腹部不适月余,加重5天,疼痛,胰头体积增大,占位病变。胃体部胃壁增厚。
回复
摘星空竹子
发表于
2015-3-5 00:03
考虑胃淋巴瘤并小网膜及腹膜后淋巴结转移。
支持
收藏
0
shibing
发表于
2015-3-4 10:59
重做胃镜
景怡
发表于
2015-3-3 12:25
wugenxing 发表于 2015-3-3 12:11
考虑胃癌并小网膜及腹膜后淋巴结转移。
该患者已做内窥镜检查,浅表性胃炎。
支持
收藏
0
景怡
发表于
2015-3-3 12:25
该患者已做内窥镜检查,浅表性胃炎。
支持
收藏
0
wugenxing
发表于
2015-3-3 12:11
本帖最后由 wugenxing 于 2015-3-3 12:12 编辑
考虑胃癌并小网膜及腹膜后淋巴结转移。
支持
收藏
0
快速回复
返回顶部
返回列表