手机应用
微信
微博
QQ群
普通登陆
QQ登录
找回密码
注册
登录
好友
帖子
收藏
道具
勋章
任务
搜索
搜索
本版
文章
帖子
用户
影像医生
也能
网上问诊
了
首页
社区
BBS
新闻
读片会
影像图库
锐滴达
医影在线
»
社区
›
影像读片
›
X线病例讨论
›
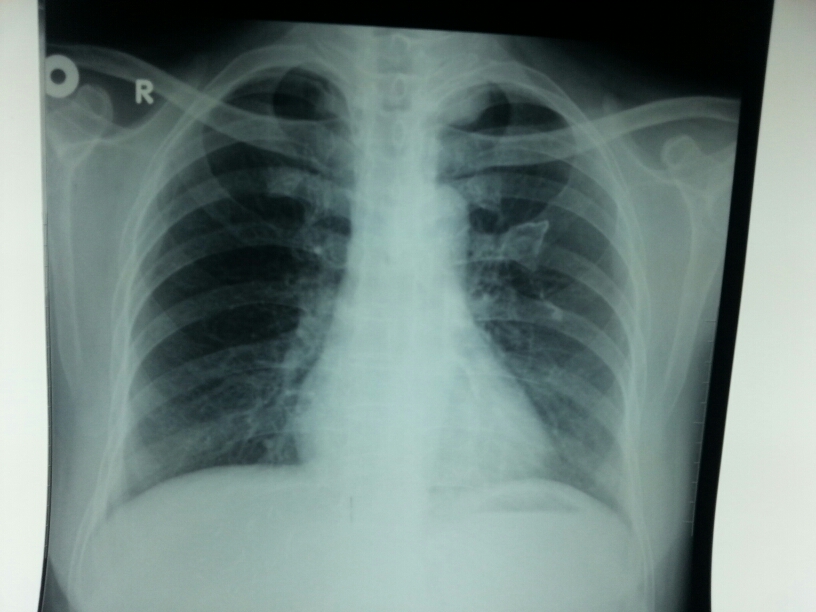
X13674:左肺病灶大家帮看下!
X13674:左肺病灶大家帮看下!
查看数:
3946
|
评论数:
24
|
收藏
2
关灯
|
提示:支持键盘翻页<-左 右->
帖子模式
组图打开中,请稍候......
收藏
2
赞同
0
反对
0
难民
发布时间:
2015-3-6 13:37
正文摘要:
回复
yiyingyiyuan
发表于
2015-3-8 21:04
左肺尖纵隔旁结节灶,边缘光滑。神经源性肿瘤?肺部肿瘤?建议CT检查。
支持
1
收藏
2
伍金福
发表于
2015-3-7 13:25
考虑左侧第二肋软骨钙化
支持
1
收藏
2
mnbvcxz1234
发表于
2018-12-30 11:21
考虑左侧第二肋软骨钙化
支持
收藏
2
陈伟超
发表于
2015-5-4 15:30
考虑纵膈占位性病变,神经源性肿瘤?建议进一步检查。
支持
收藏
2
lyming00
发表于
2015-4-29 06:50
软骨钙化,纵膈占位性病变,建议CT检查。
支持
收藏
2
陈姑凉
发表于
2015-4-24 00:00
建议ct
来自安卓客户端
支持
收藏
2
youyili
发表于
2015-4-23 18:53
伍金福 发表于 2015-3-7 13:25
考虑左侧第二肋软骨钙化
第2肋骨骨软骨瘤
支持
收藏
2
renming
发表于
2015-4-22 20:55
建议CT检查
支持
收藏
2
xx20361
发表于
2015-4-20 19:39
最近几个月遇到几例跟本片几乎一样的片子。最后都是脊神经的肿瘤。侧位片有用,只要是包块靠后就可能性大了。
支持
收藏
2
小下里
发表于
2015-4-18 22:57
左侧第二前肋肋软骨钙化,左肺肺尖可见边缘光滑,密度均匀的高密度影
支持
收藏
2
xuejs
发表于
2015-3-20 19:27
考虑左侧纵隔占位,建议CT
支持
收藏
2
快速回复
返回顶部
返回列表