手机应用
微信
微博
QQ群
普通登陆
QQ登录
找回密码
注册
登录
好友
帖子
收藏
道具
勋章
任务
搜索
搜索
本版
文章
帖子
用户
影像医生
也能
网上问诊
了
首页
社区
BBS
新闻
读片会
影像图库
锐滴达
医影在线
»
社区
›
影像读片
›
CT病例讨论
›
CT50034:男性,24岁。外伤入院
CT50034:男性,24岁。外伤入院
查看数:
1853
|
评论数:
9
|
收藏
0
关灯
|
提示:支持键盘翻页<-左 右->
帖子模式
组图打开中,请稍候......
收藏
0
赞同
0
反对
0
翁志蓬
发布时间:
2015-3-9 22:20
正文摘要:
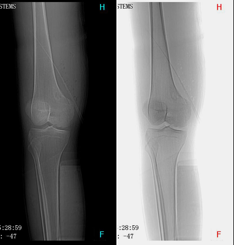
【结果公布】 男性,24岁。 患者因骑摩托车不慎跌倒,左上臂及右大腿受到撞击致疼痛,活动受限15小时入院。
回复
pujunzhi
发表于
2015-3-21 14:36
[病理诊断] CT50034:(股骨)骨促结缔组织增生性纤维瘤。
支持
收藏
0
jw_830
发表于
2015-3-10 21:34
左股骨外侧髁骨折伴纤维性骨皮质缺损
支持
收藏
0
天路人
发表于
2015-3-10 17:39
左股骨外侧髁骨折伴纤维性骨皮质缺损。
支持
收藏
0
摘星空竹子
发表于
2015-3-10 16:44
左股骨外侧髁骨折伴纤维性骨皮质缺损
支持
收藏
0
smh0227
发表于
2015-3-10 16:09
骨折并纤维性骨皮质缺损或非骨化性纤维瘤。
支持
收藏
0
改造社会
发表于
2015-3-10 14:44
股骨下端纵型骨折,骨折线触及关节面
支持
收藏
0
施明
发表于
2015-3-10 10:09
骨折
shibing
发表于
2015-3-10 09:04
骨折
科室第一人
发表于
2015-3-10 09:03
有时位子不标准可以看出骨折
支持
收藏
0
快速回复
返回顶部
返回列表