手机应用
微信
微博
QQ群
普通登陆
QQ登录
找回密码
注册
登录
好友
帖子
收藏
道具
勋章
任务
搜索
搜索
本版
文章
帖子
用户
影像医生
也能
网上问诊
了
首页
社区
BBS
新闻
读片会
影像图库
锐滴达
医影在线
»
社区
›
影像读片
›
CT病例讨论
›
CT50048:头疼数日
CT50048:头疼数日
查看数:
1650
|
评论数:
16
|
收藏
0
关灯
|
提示:支持键盘翻页<-左 右->
帖子模式
组图打开中,请稍候......
收藏
0
赞同
0
反对
0
吴钩
发布时间:
2015-3-11 18:15
正文摘要:
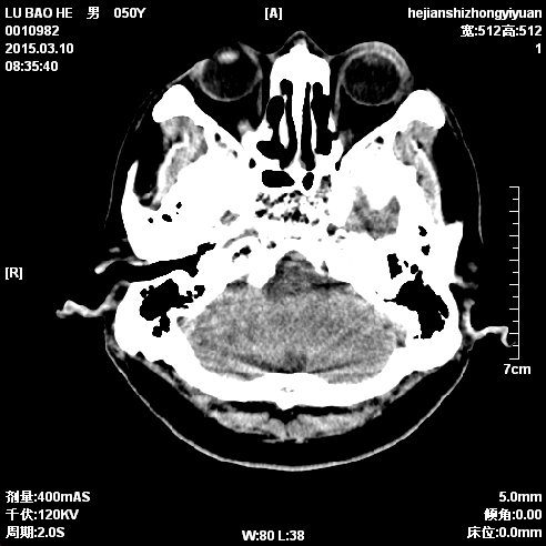
头疼数日
回复
蒙面小猪
发表于
2015-3-15 20:41
小脑占位,MRI或增强
来自安卓客户端
支持
收藏
0
jw_830
发表于
2015-3-14 14:12
建议增强扫描或MRI检查
支持
收藏
0
xiaotunshaoyi
发表于
2015-3-14 11:05
进一步检查一下吧.
支持
收藏
0
李慧珍
发表于
2015-3-13 16:03
考虑右侧小脑占位性病变,建议增强扫描或MRI检查
支持
收藏
0
金叶秋风
发表于
2015-3-13 08:32
考虑右侧小脑半球占位性病变,建议增强扫描或MRI检查。
支持
收藏
0
天路人
发表于
2015-3-13 07:39
建议增强扫描或MRI检查。
支持
收藏
0
wx_y30QB6e1
发表于
2015-3-12 23:24
小脑部占位病变,首先考虑髓母细胞瘤。
支持
收藏
0
景怡
发表于
2015-3-12 16:09
考虑右侧小脑占位性病变,建议增强扫描或MRI检查。
支持
收藏
0
改造社会
发表于
2015-3-12 09:15
建议核磁,考虑小脑右侧转移或髓母
支持
收藏
0
快速回复
返回顶部
返回列表