手机应用
微信
微博
QQ群
普通登陆
QQ登录
找回密码
注册
登录
好友
帖子
收藏
道具
勋章
任务
搜索
搜索
本版
文章
帖子
用户
影像医生
也能
网上问诊
了
首页
社区
BBS
新闻
读片会
影像图库
锐滴达
医影在线
»
社区
›
影像读片
›
CT病例讨论
›
CT50057:肾结石还是钙化
CT50057:肾结石还是钙化
查看数:
2049
|
评论数:
17
|
收藏
1
关灯
|
提示:支持键盘翻页<-左 右->
帖子模式
组图打开中,请稍候......
收藏
1
赞同
0
反对
0
GXB0924
发布时间:
2015-3-14 11:41
正文摘要:
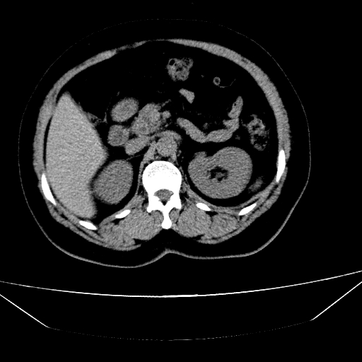
病人,女,左腹部隐痛2年,彩超左肾结石。
回复
hamagl2015
发表于
2015-8-28 22:46
钙化
来自安卓客户端
支持
收藏
1
zkc2808
发表于
2015-8-26 22:45
结石
智脑仁心@医者
发表于
2015-3-26 08:26
左肾结石
浅季,188
发表于
2015-3-25 20:56
多位钙化。
apollo8919
发表于
2015-3-19 16:35
结石
shibing
发表于
2015-3-16 14:19
考虑钙化。
施明
发表于
2015-3-16 09:49
钙化
蒙面小猪
发表于
2015-3-15 20:36
考虑钙化
来自安卓客户端
支持
收藏
1
xiaotunshaoyi
发表于
2015-3-15 15:29
考虑钙化。
快速回复
返回顶部
返回列表