手机应用
微信
微博
QQ群
普通登陆
QQ登录
找回密码
注册
登录
好友
帖子
收藏
道具
勋章
任务
搜索
搜索
本版
文章
帖子
用户
影像医生
也能
网上问诊
了
首页
社区
BBS
新闻
读片会
影像图库
锐滴达
医影在线
»
社区
›
影像读片
›
CT病例讨论
›
CT50102:头颅CT
CT50102:头颅CT
查看数:
1289
|
评论数:
7
|
收藏
0
关灯
|
提示:支持键盘翻页<-左 右->
帖子模式
组图打开中,请稍候......
收藏
0
赞同
0
反对
0
ldm1993
发布时间:
2015-3-20 19:04
正文摘要:
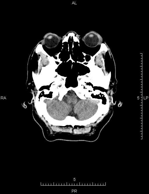
男,54岁,头痛、头晕3天。
回复
mnbvcxz1234
发表于
2020-3-5 19:47
右侧额叶可见斑片状低密度影,边缘模糊,中脑可见结节高密度影,考虑右侧额叶梗塞可能性大,中脑血管瘤?建议结合临床MRI检查。
支持
收藏
0
sunbin
发表于
2015-3-23 19:58
右侧额叶可见斑片状低密度影,边缘模糊,中脑可见结节高密度影,考虑右侧额叶梗塞可能性大,中脑血管瘤?建议结合临床MRI检查。
支持
收藏
0
shibing
发表于
2015-3-23 08:19
MR进一步确诊。
支持
收藏
0
改造社会
发表于
2015-3-21 10:14
支持沙发意见
支持
收藏
0
apollo8919
发表于
2015-3-21 08:14
MR进一步确诊。
支持
收藏
0
施明
发表于
2015-3-21 06:16
增强看看
摘星空竹子
发表于
2015-3-20 22:23
1、考虑右侧额叶脑梗塞,建议MRI检查。
2、中脑海绵状血管瘤可能,建议MRI检查。
支持
收藏
0
快速回复
返回顶部
返回列表