手机应用
微信
微博
QQ群
普通登陆
QQ登录
找回密码
注册
登录
好友
帖子
收藏
道具
勋章
任务
搜索
搜索
本版
文章
帖子
用户
影像医生
也能
网上问诊
了
首页
社区
BBS
新闻
读片会
影像图库
锐滴达
医影在线
»
社区
›
影像读片
›
CT病例讨论
›
CT50125:男,60.腹痛3天入院
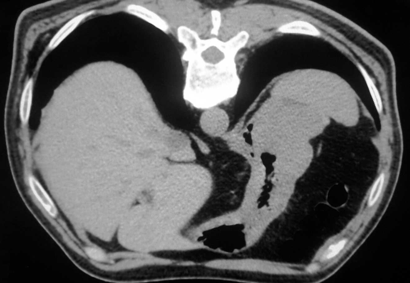
CT50125:男,60.腹痛3天入院
查看数:
1833
|
评论数:
11
|
收藏
0
关灯
|
提示:支持键盘翻页<-左 右->
帖子模式
组图打开中,请稍候......
收藏
0
赞同
0
反对
0
蒙面小猪
发布时间:
2015-3-24 07:08
正文摘要:
胃充盈不佳,胃底壁厚
回复
mnbvcxz1234
发表于
2020-3-3 20:36
病理结果胃癌
支持
收藏
0
apollo8919
发表于
2015-3-31 16:00
胃没充盈!图像只给看一层!大仙!!
胃癌需要进一步确诊。
支持
收藏
0
李慧珍
发表于
2015-3-31 15:10
喝点胃造影剂、胃充盈、好诊断
支持
收藏
0
施明
发表于
2015-3-31 08:06
的确有点厚
支持
收藏
0
蒙面小猪
发表于
2015-3-24 21:26
第-张图是MRP重建
来自安卓客户端
支持
收藏
0
蒙面小猪
发表于
2015-3-24 21:20
病理结果胃癌
来自安卓客户端
支持
收藏
0
摘星空竹子
发表于
2015-3-24 16:02
胃癌可能性大,建议胃镜检查。
支持
收藏
0
shibing
发表于
2015-3-24 15:20
胃镜检查
改造社会
发表于
2015-3-24 11:59
胃癌可能大,最好喝钡剂
支持
收藏
0
快速回复
返回顶部
返回列表