手机应用
微信
微博
QQ群
普通登陆
QQ登录
找回密码
注册
登录
好友
帖子
收藏
道具
勋章
任务
搜索
搜索
本版
文章
帖子
用户
影像医生
也能
网上问诊
了
首页
社区
BBS
新闻
读片会
影像图库
锐滴达
医影在线
»
社区
›
影像读片
›
CT病例讨论
›
CT50192:肾盏憩室
CT50192:肾盏憩室
查看数:
2652
|
评论数:
16
|
收藏
2
关灯
|
提示:支持键盘翻页<-左 右->
帖子模式
组图打开中,请稍候......
收藏
2
赞同
1
反对
0
蒙面小猪
发布时间:
2015-4-4 13:08
正文摘要:
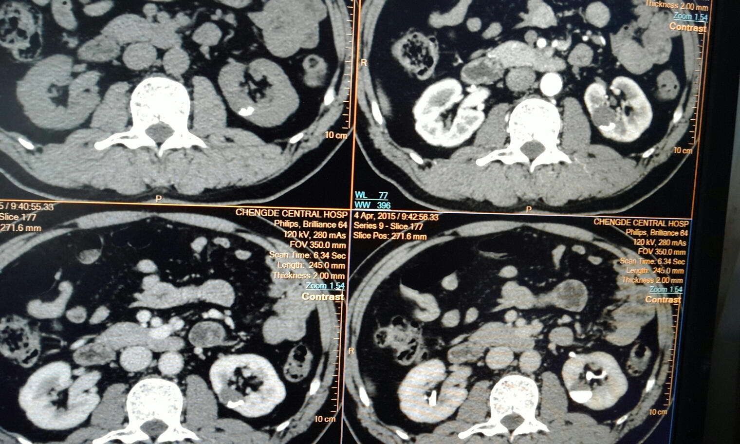
大家讨沦讨论,像不像?
回复
Zhxp
发表于
2015-4-10 18:24
支持肾盏憩室
来自安卓客户端
支持
收藏
2
sunbin
发表于
2015-4-9 12:21
左肾见类圆形低密度影,增强延时低密度被造影剂充填,考虑左肾憩室。
支持
收藏
2
shibing
发表于
2015-4-7 10:53
如何与肾钙乳鉴别?
支持
收藏
2
施明
发表于
2015-4-7 09:35
息室
xuejs
发表于
2015-4-5 12:07
肾盏憩室。
改造社会
发表于
2015-4-5 10:40
肾钙乳-----细微的含钙颗粒呈混悬状态存留在积水的肾盏,肾囊肿或肾盏憩室内,由于含钙颗粒与混悬液之间的比重差故随体位变化而变动。
支持
收藏
2
常山真人
发表于
2015-4-4 23:04
肾钙乳-----细微的含钙颗粒呈混悬状态存留在积水的肾盏,肾囊肿或肾盏憩室内,由于含钙颗粒与混悬液之间的比重差故随体位变化而变动。
支持
收藏
2
摘星空竹子
发表于
2015-4-4 23:03
如何与肾钙乳鉴别?
支持
收藏
2
蒙面小猪
发表于
2015-4-4 22:38
常山真人 发表于 2015-4-4 22:35
首先定位是肾内还是肾盂内
平扫肾内囊性病灶,底部可见高密度影;延迟似有造影剂进入。
其实这是一个少见病 ...
没扫俯卧位
来自安卓客户端
支持
收藏
2
快速回复
返回顶部
返回列表