手机应用
微信
微博
QQ群
普通登陆
QQ登录
找回密码
注册
登录
好友
帖子
收藏
道具
勋章
任务
搜索
搜索
本版
文章
帖子
用户
影像医生
也能
网上问诊
了
首页
社区
BBS
新闻
读片会
影像图库
锐滴达
医影在线
»
社区
›
影像读片
›
CT病例讨论
›
CT50204:男,29岁,咳痰,带血
CT50204:男,29岁,咳痰,带血
查看数:
1263
|
评论数:
9
|
收藏
0
关灯
|
提示:支持键盘翻页<-左 右->
帖子模式
组图打开中,请稍候......
收藏
0
赞同
0
反对
0
牡丹花影
发布时间:
2015-4-6 11:27
正文摘要:
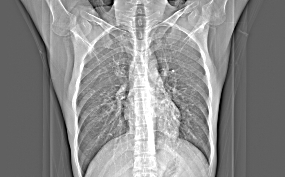
男,29岁,咳痰,带血。双肺多发结节。
回复
wsmg-自在
发表于
2015-4-8 22:11
结核可能
sunbin
发表于
2015-4-8 14:00
两肺均可见多发斑片状索条状及结节状密度增高影,密度不均,左肺尤著,部分且见透光区,考虑两肺继发性结核伴空洞形成。
支持
收藏
0
shibing
发表于
2015-4-7 11:27
两肺继发性肺结核(左肺部分病灶内空洞形成)。
支持
收藏
0
改造社会
发表于
2015-4-7 11:10
两肺继发性肺结核(左肺部分病灶内空洞形成)。
支持
收藏
0
施明
发表于
2015-4-7 08:22
结核
摘星空竹子
发表于
2015-4-6 21:52
支持两肺继发性肺结核。
支持
收藏
0
天路人
发表于
2015-4-6 18:44
两肺继发性肺结核。
支持
收藏
0
随光逐影
发表于
2015-4-6 16:51
两肺继发性肺结核(左肺部分病灶内空洞形成)。
支持
收藏
0
姗姗来迟
发表于
2015-4-6 11:41
双肺结核
快速回复
返回顶部
返回列表