手机应用
微信
微博
QQ群
普通登陆
QQ登录
找回密码
注册
登录
好友
帖子
收藏
道具
勋章
任务
搜索
搜索
本版
文章
帖子
用户
影像医生
也能
网上问诊
了
首页
社区
BBS
新闻
读片会
影像图库
锐滴达
医影在线
»
社区
›
影像读片
›
CT病例讨论
›
CT50218:上腹部CT
CT50218:上腹部CT
查看数:
1142
|
评论数:
11
|
收藏
0
关灯
|
提示:支持键盘翻页<-左 右->
帖子模式
组图打开中,请稍候......
收藏
0
赞同
0
反对
0
ldm1993
发布时间:
2015-4-7 19:53
正文摘要:
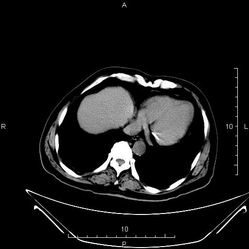
男,76岁,上腹部不适半个月。
回复
shibing
发表于
2015-4-9 08:30
胰头囊腺癌伴肝内转移可能性大。
支持
收藏
0
apollo8919
发表于
2015-4-8 17:48
胰腺癌伴肝转移
支持
收藏
0
改造社会
发表于
2015-4-8 11:09
胰头囊腺癌伴肝内转移可能性大。
支持
收藏
0
sunbin
发表于
2015-4-8 09:57
胰头部可见不规则低密度占位,不均匀强化, 肝内可见多发斑片结节低密度影,斑片灶不同期,可见不同程度强化,部分结节强化不明显,脾大,考虑胰头占位---胰腺癌伴肝内转移可能性大。
支持
收藏
0
shibing
发表于
2015-4-8 08:45
胰腺癌 肝转移
支持
收藏
0
施明
发表于
2015-4-8 08:04
胰腺癌 肝转移
支持
收藏
0
天路人
发表于
2015-4-8 07:33
胰头囊腺癌伴肝内转移可能性大。
支持
收藏
0
蒙面小猪
发表于
2015-4-7 23:56
胰头癌伴肝转移
来自安卓客户端
支持
收藏
0
李仕雄
发表于
2015-4-7 23:18
肝右叶海绵状血管瘤,胰头囊腺瘤可能。
支持
收藏
0
快速回复
返回顶部
返回列表