手机应用
微信
微博
QQ群
普通登陆
QQ登录
找回密码
注册
登录
好友
帖子
收藏
道具
勋章
任务
搜索
搜索
本版
文章
帖子
用户
影像医生
也能
网上问诊
了
首页
社区
BBS
新闻
读片会
影像图库
锐滴达
医影在线
»
社区
›
影像读片
›
CT病例讨论
›
CT50258:女73岁,后背疼痛3天
CT50258:女73岁,后背疼痛3天
查看数:
611
|
评论数:
4
|
收藏
0
关灯
|
提示:支持键盘翻页<-左 右->
帖子模式
组图打开中,请稍候......
收藏
0
赞同
0
反对
0
初学ct1
发布时间:
2015-4-13 11:05
正文摘要:
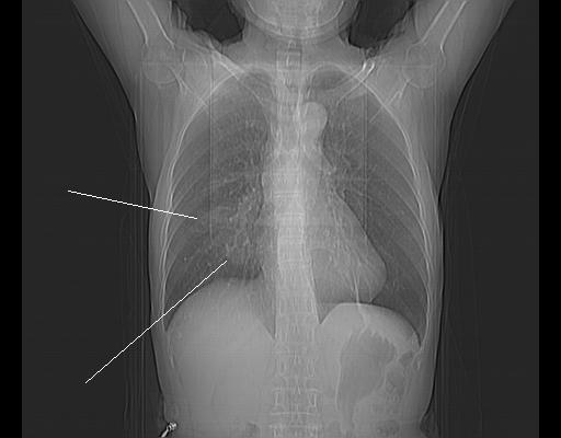
女73岁,后背疼痛3天,无咳嗽、咳痰,无发热。24552
回复
shibing
发表于
2015-4-14 11:50
右中叶支气管狭窄,肺不张,淋巴结钙化,做支气管镜检查确诊。
支持
收藏
0
改造社会
发表于
2015-4-14 11:03
右中叶支气管狭窄,肺不张,淋巴结钙化,做支气管镜检查确诊。
支持
收藏
0
施明
发表于
2015-4-14 08:06
陈旧炎症?
wugenxing
发表于
2015-4-13 16:38
右中叶支气管狭窄,肺不张,淋巴结钙化,做支气管镜检查确诊。
支持
收藏
0
快速回复
返回顶部
返回列表