手机应用
微信
微博
QQ群
普通登陆
QQ登录
找回密码
注册
登录
好友
帖子
收藏
道具
勋章
任务
搜索
搜索
本版
文章
帖子
用户
影像医生
也能
网上问诊
了
首页
社区
BBS
新闻
读片会
影像图库
锐滴达
医影在线
»
社区
›
影像读片
›
CT病例讨论
›
CT50260:上腹部CT
CT50260:上腹部CT
查看数:
833
|
评论数:
7
|
收藏
0
关灯
|
提示:支持键盘翻页<-左 右->
帖子模式
组图打开中,请稍候......
收藏
0
赞同
0
反对
0
ldm1993
发布时间:
2015-4-13 11:49
正文摘要:
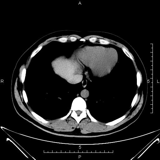
男,43岁,体检彩超发现肝右叶低回声结节,内可见斑点状强回声,后伴声影。
回复
常山真人
发表于
2015-4-14 12:46
小囊肿可能性大,随诊
支持
收藏
0
改造社会
发表于
2015-4-14 11:57
建议短期内复查
支持
收藏
0
shibing
发表于
2015-4-14 11:51
炎性假瘤或炎性肌纤维母细胞瘤。
支持
收藏
0
施明
发表于
2015-4-14 08:01
边缘有强化
支持
收藏
0
wugenxing
发表于
2015-4-13 16:27
平衡期轻度强化,边缘强化,考虑炎性假瘤或炎性肌纤维母细胞瘤。
支持
收藏
0
天路人
发表于
2015-4-13 16:14
小囊肿。
731208
发表于
2015-4-13 13:06
右肝后叶低密度小结节影,考虑血管瘤可能(动脉期无明显强化,门脉期病灶边缘强化),不典型小肝癌待除外。
支持
收藏
0
快速回复
返回顶部
返回列表