手机应用
微信
微博
QQ群
普通登陆
QQ登录
找回密码
注册
登录
好友
帖子
收藏
道具
勋章
任务
搜索
搜索
本版
文章
帖子
用户
影像医生
也能
网上问诊
了
首页
社区
BBS
新闻
读片会
影像图库
锐滴达
医影在线
»
社区
›
影像读片
›
CT病例讨论
›
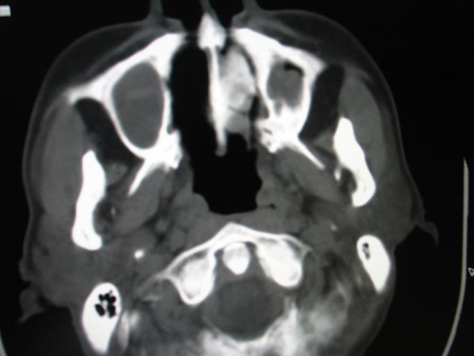
CT50267:男.61岁。鼻塞.
CT50267:男.61岁。鼻塞.
查看数:
1440
|
评论数:
11
|
收藏
1
关灯
|
提示:支持键盘翻页<-左 右->
帖子模式
组图打开中,请稍候......
收藏
1
赞同
0
反对
0
zmczmc
发布时间:
2015-4-13 13:22
正文摘要:
男.61岁。鼻塞,有时鼻滴带血
回复
jw_830
发表于
2015-4-17 15:11
1、多考虑内翻性乳头状瘤,鼻息肉待除外。
2、双侧筛窦炎、上颌窦炎。zhichi
支持
收藏
1
zkc2808
发表于
2015-4-15 23:18
内翻
改造社会
发表于
2015-4-15 10:22
1)双侧鼻腔及双侧上颌窦息肉。2)双侧上颌窦、双侧筛窦及双侧蝶窦炎。
支持
收藏
1
shibing
发表于
2015-4-14 11:53
息肉 炎症
施明
发表于
2015-4-14 07:39
像息肉 炎症
支持
收藏
1
学者~『风』
发表于
2015-4-13 23:22
支持
来自安卓客户端
支持
收藏
1
随光逐影
发表于
2015-4-13 16:12
1)双侧鼻腔及双侧上颌窦息肉。2)双侧上颌窦、双侧筛窦及双侧蝶窦炎。
支持
收藏
1
天路人
发表于
2015-4-13 16:10
支持1楼见解。
支持
收藏
1
科室第一人
发表于
2015-4-13 16:08
副鼻窦炎;鼻腔息肉样变,不除外鼻咽癌。
支持
收藏
1
快速回复
返回顶部
返回列表