手机应用
微信
微博
QQ群
普通登陆
QQ登录
找回密码
注册
登录
好友
帖子
收藏
道具
勋章
任务
搜索
搜索
本版
文章
帖子
用户
影像医生
也能
网上问诊
了
首页
社区
BBS
新闻
读片会
影像图库
锐滴达
医影在线
»
社区
›
影像读片
›
CT病例讨论
›
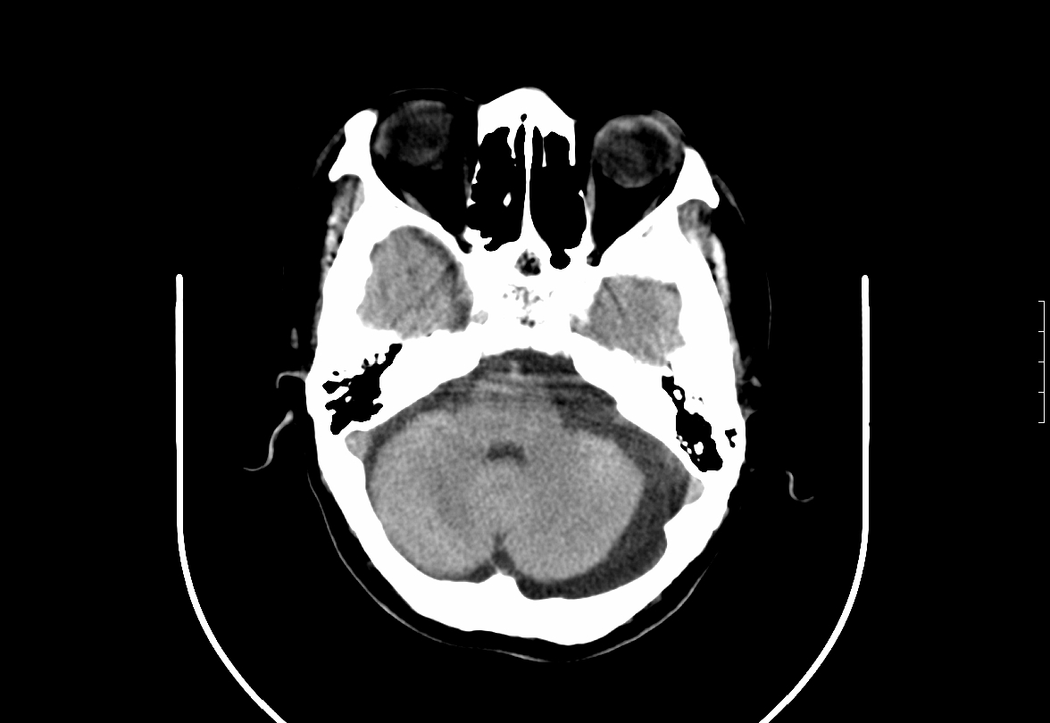
CT50272:男.65Y,头晕4月余。否认有外伤史。 ...
CT50272:男.65Y,头晕4月余。否认有外伤史。
查看数:
1480
|
评论数:
12
|
收藏
1
关灯
|
提示:支持键盘翻页<-左 右->
帖子模式
组图打开中,请稍候......
收藏
1
赞同
0
反对
0
DEQINGCHLF
发布时间:
2015-4-14 10:18
正文摘要:
本帖最后由 cefcmj 于 2015-4-14 15:20 编辑 病理体征未引出,血压不高。血肿?脑膜瘤?请会诊
回复
jw_830
发表于
2015-4-17 15:35
慢性硬膜外血肿伴机化
支持
收藏
1
改造社会
发表于
2015-4-15 11:55
慢性硬膜下血肿并慢性活动性出血
支持
收藏
1
学者~『风』
发表于
2015-4-15 08:30
支持,慢性硬膜外血肿伴机化。
点评
青年。
求详解
发表于 2015-4-19 17:20
来自安卓客户端
支持
收藏
1
施明
发表于
2015-4-15 08:10
血肿 可能仍有活动性出血
支持
收藏
1
宇宙CT
发表于
2015-4-15 07:03
硬膜外血肿
支持
收藏
1
摘星空竹子
发表于
2015-4-14 23:09
支持,慢性硬膜外血肿伴机化。
支持
收藏
1
tacycaty
发表于
2015-4-14 23:05
本帖最后由 tacycaty 于 2015-4-14 23:11 编辑
慢性硬膜外血肿伴机化及大脑镰下疝
来自安卓客户端
支持
收藏
1
卜一
发表于
2015-4-14 20:16
支持,慢性硬膜外血肿伴机化。
支持
收藏
1
fangshe-88
发表于
2015-4-14 20:06
这人胼胝体咋这样?左侧慢性硬膜外血肿伴机化支持。
支持
收藏
1
快速回复
返回顶部
返回列表