手机应用
微信
微博
QQ群
普通登陆
QQ登录
找回密码
注册
登录
好友
帖子
收藏
道具
勋章
任务
搜索
搜索
本版
文章
帖子
用户
影像医生
也能
网上问诊
了
首页
社区
BBS
新闻
读片会
影像图库
锐滴达
医影在线
»
社区
›
影像读片
›
CT病例讨论
›
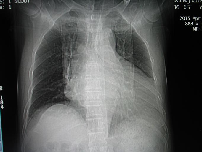
CT50327:胸部CT
CT50327:胸部CT
查看数:
848
|
评论数:
9
|
收藏
0
关灯
|
提示:支持键盘翻页<-左 右->
帖子模式
组图打开中,请稍候......
收藏
0
赞同
0
反对
0
zmczmc
发布时间:
2015-4-25 19:21
正文摘要:
下部层面究竟是胸水还是有腹水?
回复
shibing
发表于
2015-4-29 16:15
心衰
tacycaty
发表于
2015-4-27 21:47
心功能不全
支持
收藏
0
leiheku
发表于
2015-4-27 10:01
心衰并胸水、腹水形成
心包少量积液
支持
收藏
0
施明
发表于
2015-4-27 08:38
胸水 腹水
sunbin
发表于
2015-4-26 15:41
心影增大,以左房室增大为主,两侧胸腔,肝周及心包见少量液体密度,考虑:心脏病,结合临床心超,胸腹水,心包积液。
支持
收藏
0
xuejs
发表于
2015-4-26 14:19
心脏病,肺淤血,胸水,腹水,少量心包积液
支持
收藏
0
冷月游云
发表于
2015-4-26 10:06
都有
来自苹果客户端
支持
收藏
0
摘星空竹子
发表于
2015-4-25 22:38
胸水,腹水,少量心包积液。
支持
收藏
0
医学影像医生
发表于
2015-4-25 20:25
胸水,腹水
快速回复
返回顶部
返回列表