手机应用
微信
微博
QQ群
普通登陆
QQ登录
找回密码
注册
登录
好友
帖子
收藏
道具
勋章
任务
搜索
搜索
本版
文章
帖子
用户
影像医生
也能
网上问诊
了
首页
社区
BBS
新闻
读片会
影像图库
锐滴达
医影在线
»
社区
›
影像读片
›
CT病例讨论
›
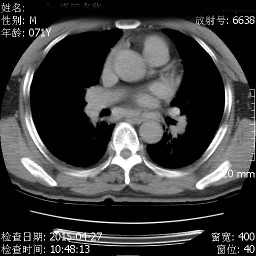
CT50343:胸部:男性 70岁 左上肺球形阴影。 ...
CT50343:胸部:男性 70岁 左上肺球形阴影。
查看数:
1233
|
评论数:
8
|
收藏
0
关灯
|
提示:支持键盘翻页<-左 右->
帖子模式
组图打开中,请稍候......
收藏
0
赞同
0
反对
0
网事随风
发布时间:
2015-4-28 09:45
正文摘要:
本帖最后由 cefcmj 于 2015-4-28 12:34 编辑 胸痛、气短半月。测量CT值增高不明显。
回复
tacycaty
发表于
2015-4-29 20:59
左肺周围型肺癌伴双肺转移。
支持
收藏
0
shibing
发表于
2015-4-29 16:30
左肺周围型肺癌
支持
收藏
0
摘星空竹子
发表于
2015-4-28 21:31
左肺周围型肺癌可能性大。
支持
收藏
0
smh0227
发表于
2015-4-28 21:10
支持大家,强化方式也符合。
支持
收藏
0
金缘分
发表于
2015-4-28 20:12
左肺周围型肺癌可能性大。
支持
收藏
0
天路人
发表于
2015-4-28 18:19
左侧肺癌伴双肺转移。
支持
收藏
0
陈军
发表于
2015-4-28 17:44
双肺团块状高密度影,可见胸膜凹陷征,肺门淋巴结肿大。考虑 多发周围性肺癌伴肺门淋巴结增大。 结节病不除外。
支持
收藏
0
leiheku
发表于
2015-4-28 16:09
左侧中央型肺癌
支持
收藏
0
快速回复
返回顶部
返回列表