手机应用
微信
微博
QQ群
普通登陆
QQ登录
找回密码
注册
登录
好友
帖子
收藏
道具
勋章
任务
搜索
搜索
本版
文章
帖子
用户
影像医生
也能
网上问诊
了
首页
社区
BBS
新闻
读片会
影像图库
锐滴达
医影在线
»
社区
›
影像读片
›
CT病例讨论
›
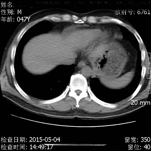
CT50379:男性 47岁 间断咳嗽3月 纵膈、肺门多发增大淋 ...
CT50379:男性 47岁 间断咳嗽3月 纵膈、肺门多发增大淋巴结。
查看数:
1210
|
评论数:
13
|
收藏
1
关灯
|
提示:支持键盘翻页<-左 右->
帖子模式
组图打开中,请稍候......
收藏
1
赞同
0
反对
0
网事随风
发布时间:
2015-5-5 15:02
正文摘要:
本帖最后由 cefcmj 于 2015-5-6 12:24 编辑 如述。
回复
xiaobo126123
发表于
2015-5-14 16:04
结节病
jiangmin
发表于
2015-5-14 12:50
转移瘤可能性大
支持
收藏
1
网事随风
发表于
2015-5-12 12:24
临床大夫反馈,说外院纵膈淋巴穿刺,考虑结核。我还是有点怀疑这个结果。
支持
收藏
1
笑微微
发表于
2015-5-9 20:43
双肺 及纵隔多发转移可能性大,结节病不除外,建议进一步检查。
支持
收藏
1
tacycaty
发表于
2015-5-7 21:42
双肺多发结节,肺门纵隔多发淋巴结肿大。考虑1.肺结节病 2.转性肿瘤。
支持
收藏
1
zhenchengzy
发表于
2015-5-7 18:24
考虑肺结节病
支持
收藏
1
shibing
发表于
2015-5-6 08:26
双肺 及纵隔多发转移可能性大,结节病不除外,建议进一步检查。
支持
收藏
1
摘星空竹子
发表于
2015-5-5 23:21
双肺 及纵隔多发转移可能性大,结节病不除外,建议进一步检查。
支持
收藏
1
天路人
发表于
2015-5-5 17:56
双肺 纵隔多发转移。
支持
收藏
1
快速回复
返回顶部
返回列表