手机应用
微信
微博
QQ群
普通登陆
QQ登录
找回密码
注册
登录
好友
帖子
收藏
道具
勋章
任务
搜索
搜索
本版
文章
帖子
用户
影像医生
也能
网上问诊
了
首页
社区
BBS
新闻
读片会
影像图库
锐滴达
医影在线
»
社区
›
影像读片
›
MRI病例讨论
›
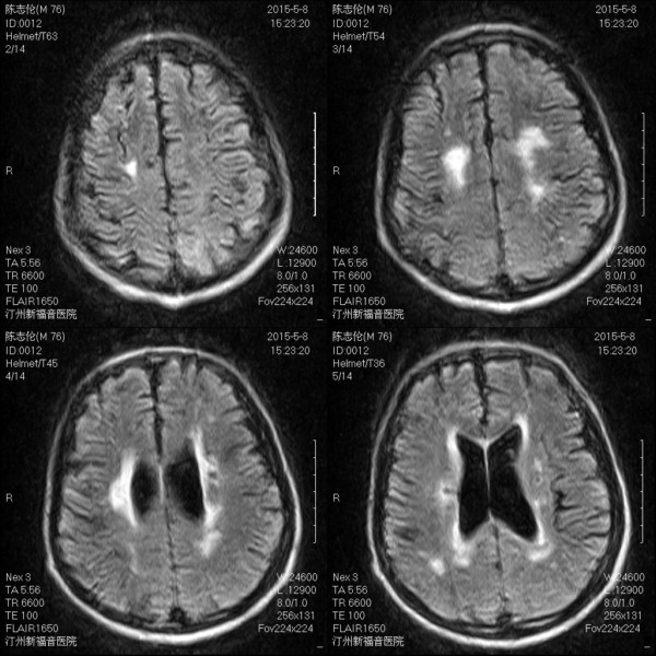
MRI6648:请各位专家帮忙看看 陈旧脑梗病史 有无新发 ...
MRI6648:请各位专家帮忙看看 陈旧脑梗病史 有无新发
查看数:
1878
|
评论数:
10
|
收藏
0
关灯
|
提示:支持键盘翻页<-左 右->
帖子模式
组图打开中,请稍候......
收藏
0
赞同
0
反对
0
529537262
发布时间:
2015-5-8 19:59
正文摘要:
回复
529537262
发表于
2015-7-13 17:07
不好意思,低场的,没法做dw1
来自安卓客户端
支持
收藏
0
dhlyq
发表于
2015-7-7 23:29
增加DWI图像即可!
支持
收藏
0
施明
发表于
2015-5-18 10:53
dwi 可能梗死灶周围有出血
支持
收藏
0
pujunzhi
发表于
2015-5-13 16:07
增加DWI图像即可!
支持
收藏
0
赵毅_kc0Jm
发表于
2015-5-11 17:58
增加DWI图像,可以进一步鉴别是否为新鲜梗塞
支持
收藏
0
sunbin
发表于
2015-5-11 10:00
两侧基底节区多发性腔梗,部分陈旧,脑白质疏松。
支持
收藏
0
巫山云2015
发表于
2015-5-10 20:42
新旧兼有
shibing
发表于
2015-5-10 09:22
1、有陈旧脑梗,也有新发脑梗。
2、 脑白质疏松。
支持
收藏
0
dj19760805
发表于
2015-5-9 14:02
没有dwi怎么有效判断啊
支持
收藏
0
快速回复
返回顶部
返回列表