手机应用
微信
微博
QQ群
普通登陆
QQ登录
找回密码
注册
登录
好友
帖子
收藏
道具
勋章
任务
搜索
搜索
本版
文章
帖子
用户
影像医生
也能
网上问诊
了
首页
社区
BBS
新闻
读片会
影像图库
锐滴达
医影在线
»
社区
›
影像读片
›
CT病例讨论
›
CT50427:男,76岁,B超示肝硬化,肝内占位,请会诊。多 ...
CT50427:男,76岁,B超示肝硬化,肝内占位,请会诊。多谢!
查看数:
898
|
评论数:
7
|
收藏
1
关灯
|
提示:支持键盘翻页<-左 右->
帖子模式
组图打开中,请稍候......
收藏
1
赞同
0
反对
0
skc
发布时间:
2015-5-12 15:32
正文摘要:
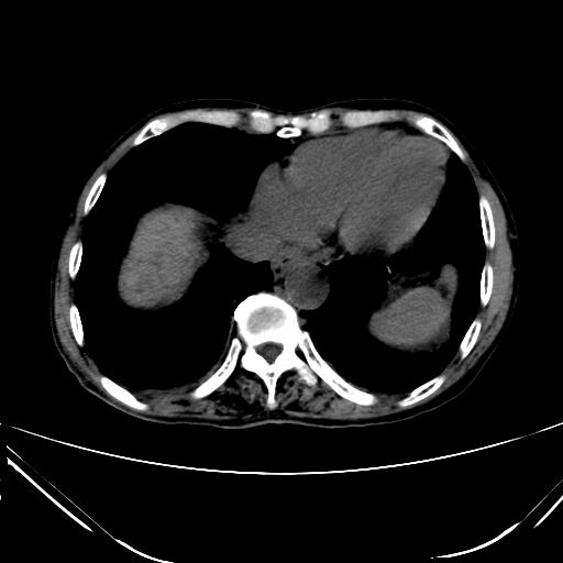
本帖最后由 cefcmj 于 2015-5-12 17:28 编辑 男,76岁,B超示肝硬化,肝内占位,请会诊。多谢!
回复
施明
发表于
2015-5-14 09:37
癌
天路人
发表于
2015-5-13 17:46
1、肝脏多发低密度灶,建议增强扫描进一步明确诊断。
2、肝硬化、腹水、脾大。
3、胆囊炎、胆结石。
支持
收藏
1
wsmg-自在
发表于
2015-5-13 15:31
1、肝脏多发低密度灶,肝癌伴肝内转移可能,建议增强扫描进一步明确诊断。
2、肝硬化、腹水、脾大。
3、胆囊炎、胆结石。
支持
收藏
1
改造社会
发表于
2015-5-13 09:58
肝硬化、腹水,胆囊结石,肝内胆管细胞癌。
支持
收藏
1
shibing
发表于
2015-5-13 08:28
1、肝脏多发低密度灶,建议增强扫描进一步明确诊断。
2、肝硬化、腹水、脾大。
3、胆囊炎、胆结石。
支持
收藏
1
摘星空竹子
发表于
2015-5-12 16:36
1、肝脏多发低密度灶,建议增强扫描进一步明确诊断。
2、肝硬化、腹水、脾大。
3、胆囊炎、胆结石。
支持
收藏
1
xuejs
发表于
2015-5-12 16:13
肝硬化、腹水,胆囊结石,肝癌。
支持
收藏
1
快速回复
返回顶部
返回列表