手机应用
微信
微博
QQ群
普通登陆
QQ登录
找回密码
注册
登录
好友
帖子
收藏
道具
勋章
任务
搜索
搜索
本版
文章
帖子
用户
影像医生
也能
网上问诊
了
首页
社区
BBS
新闻
读片会
影像图库
锐滴达
医影在线
»
社区
›
影像读片
›
CT病例讨论
›
CT50460:男.73岁.腹部不适
CT50460:男.73岁.腹部不适
查看数:
845
|
评论数:
6
|
收藏
0
关灯
|
提示:支持键盘翻页<-左 右->
帖子模式
组图打开中,请稍候......
收藏
0
赞同
0
反对
0
15972506296
发布时间:
2015-5-17 09:35
正文摘要:
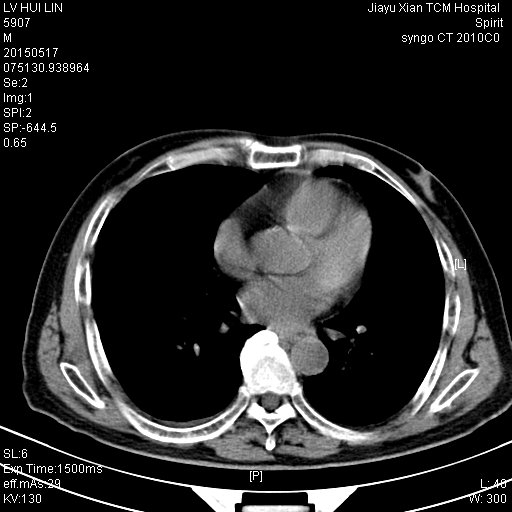
请各位老师看看
回复
jiangmin
发表于
2015-5-19 10:42
(1)两肺多发结节灶;(2)肝内多发低密度灶;建议进一步检查
支持
收藏
0
施明
发表于
2015-5-18 14:13
脂肪肝 肺占位 增强看看
支持
收藏
0
shibing
发表于
2015-5-18 11:46
1、肝脏多发低密度灶,考虑转移瘤可能性大,建议增强扫描。
2、两肺大小不等类圆形结节,多考虑转移瘤,不除外右肺原发病灶可能。
3、胃小弯侧胃壁增厚、食道贲门密度增高,建议胃镜检查除外占位性病变。
支持
收藏
0
改造社会
发表于
2015-5-18 09:07
支持3楼
摘星空竹子
发表于
2015-5-17 11:00
1、肝脏多发低密度灶,考虑转移瘤可能性大,建议增强扫描。
2、两肺大小不等类圆形结节,多考虑转移瘤,不除外右肺原发病灶可能。
3、胃小弯侧胃壁增厚、食道贲门密度增高,建议胃镜检查除外占位性病变。
支持
收藏
0
姗姗来迟
发表于
2015-5-17 10:05
肝脏多发低密度病灶性质待定,建议增强,胆囊小结石;右下肺占位密度均匀,边缘光滑考虑率良性肿瘤,左下肺小结节
支持
收藏
0
快速回复
返回顶部
返回列表