手机应用
微信
微博
QQ群
普通登陆
QQ登录
找回密码
注册
登录
好友
帖子
收藏
道具
勋章
任务
搜索
搜索
本版
文章
帖子
用户
影像医生
也能
网上问诊
了
首页
社区
BBS
新闻
读片会
影像图库
锐滴达
医影在线
»
社区
›
影像读片
›
X线病例讨论
›
X13722:箭头所指
X13722:箭头所指
查看数:
1764
|
评论数:
8
|
收藏
0
关灯
|
提示:支持键盘翻页<-左 右->
帖子模式
组图打开中,请稍候......
收藏
0
赞同
0
反对
0
07619
发布时间:
2015-5-25 12:48
正文摘要:
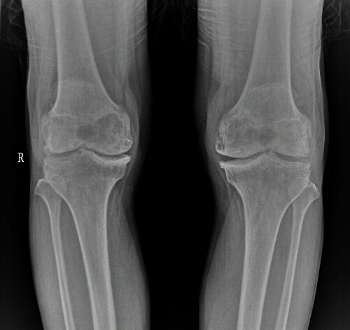
男,66.膝关节疼痛数月。滑膜软骨瘤?
回复
sunbin
发表于
2015-6-20 20:31
双膝关节骨质增生硬化变尖,关节间隙狭窄,左关节囊内见多个结节,考虑双膝关节退变,左膝关节滑膜骨软骨瘤。
支持
收藏
0
hgxswxg
发表于
2015-6-10 09:53
关节滑膜骨软骨瘤 退形性变
支持
收藏
0
施明
发表于
2015-6-3 07:26
蜕变
陈伟超
发表于
2015-5-29 11:27
双侧膝关节退行性骨关节病伴左膝关节滑膜骨软骨瘤
支持
收藏
0
xuejs
发表于
2015-5-27 13:18
支持楼上。
摘星空竹子
发表于
2015-5-26 00:10
双侧膝关节退行性骨关节病伴左膝关节滑膜骨软骨瘤病。
支持
收藏
0
田田田
发表于
2015-5-25 21:45
关节滑膜骨软骨瘤。
支持
收藏
0
leiheku
发表于
2015-5-25 16:46
支持
快速回复
返回顶部
返回列表