手机应用
微信
微博
QQ群
普通登陆
QQ登录
找回密码
注册
登录
好友
帖子
收藏
道具
勋章
任务
搜索
搜索
本版
文章
帖子
用户
影像医生
也能
网上问诊
了
首页
社区
BBS
新闻
读片会
影像图库
锐滴达
医影在线
»
社区
›
影像读片
›
CT病例讨论
›
CT50519:偶然体检发现,三个月后显示空洞 ...
CT50519:偶然体检发现,三个月后显示空洞
查看数:
1932
|
评论数:
11
|
收藏
0
关灯
|
提示:支持键盘翻页<-左 右->
帖子模式
组图打开中,请稍候......
收藏
0
赞同
1
反对
0
yangff
发布时间:
2015-5-26 22:10
正文摘要:
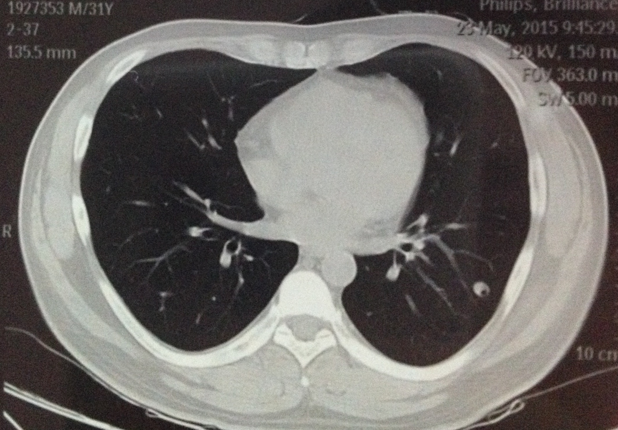
三个月后复查,大小没有变化9mm*9mm,但是扫出来多了小空洞 原来诊断说是良性,错构瘤或者炎性假瘤或者结核球 这次医生不说是什么了,求各位专家给个意见 ...
回复
mnbvcxz1234
发表于
2020-3-2 20:08
良性结节可能性大,建议随诊、复查
支持
收藏
0
施明
发表于
2015-6-1 15:27
错构瘤?脂肪影?
支持
收藏
0
PYLTZ
发表于
2015-5-28 10:52
良性结节可能性大,建议随诊、复查。
支持
收藏
0
天路人
发表于
2015-5-27 19:02
随诊。
muzi888
发表于
2015-5-27 13:50
支持
来自安卓客户端
支持
收藏
0
xuejs
发表于
2015-5-27 13:32
仍然考虑良性结节
支持
收藏
0
leiheku
发表于
2015-5-27 11:05
建议薄层观察,仍然考虑良性结节可能性大
支持
收藏
0
jiangmin
发表于
2015-5-27 09:16
建议薄层观察
支持
收藏
0
shibing
发表于
2015-5-27 08:14
建议薄层观察,仍然考虑良性结节可能性大
支持
收藏
0
快速回复
返回顶部
返回列表