手机应用
微信
微博
QQ群
普通登陆
QQ登录
找回密码
注册
登录
好友
帖子
收藏
道具
勋章
任务
搜索
搜索
本版
文章
帖子
用户
影像医生
也能
网上问诊
了
首页
社区
BBS
新闻
读片会
影像图库
锐滴达
医影在线
»
社区
›
影像读片
›
CT病例讨论
›
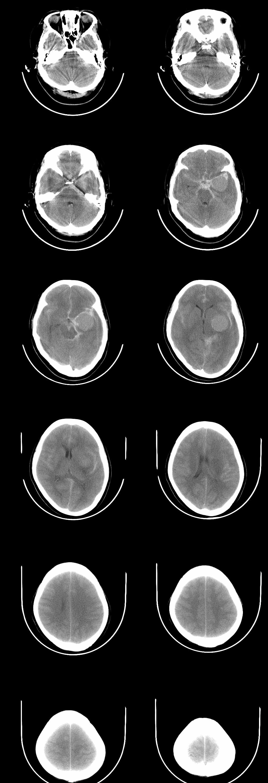
CT50520:帮忙看看,女,34岁,呼之不应,肢体活动障碍6 ...
CT50520:帮忙看看,女,34岁,呼之不应,肢体活动障碍6小...
查看数:
2061
|
评论数:
15
|
收藏
0
关灯
|
提示:支持键盘翻页<-左 右->
帖子模式
组图打开中,请稍候......
收藏
0
赞同
0
反对
0
初学ct1
发布时间:
2015-5-27 10:14
正文摘要:
回复
随光逐影
发表于
2015-5-28 11:40
1)左侧颞叶鞍上池及侧裂池旁占位性病变,不排除巨大动脉瘤可能;建议行进一步检查。2)蛛网膜下腔出血。
支持
1
收藏
0
mnbvcxz1234
发表于
2020-3-2 20:04
脑膜瘤破裂,蛛网膜下腔出血
支持
收藏
0
1491663430
发表于
2015-6-2 08:11
圆形,密度均匀,其内无钙化,应考虑动脉瘤破裂,伴蛛网膜下腔出血。
来自安卓客户端
支持
收藏
0
施明
发表于
2015-6-1 15:26
动脉瘤破了
支持
收藏
0
胡宇
发表于
2015-5-31 17:26
1)左侧颞叶鞍上池及侧裂池旁占位性病变,不排除巨大动脉瘤可能;建议行进一步检查。2)蛛网膜下腔出血。
支持
收藏
0
李世军
发表于
2015-5-31 15:11
脑膜瘤破裂,蛛网膜下腔出血
支持
收藏
0
虚谷xugu
发表于
2015-5-28 08:58
脑膜瘤 蛛网膜下腔出血
支持
收藏
0
shibing
发表于
2015-5-28 08:23
脑膜瘤破裂,蛛网膜下腔出血
支持
收藏
0
当幸福来敲门
发表于
2015-5-28 08:21
支持6楼竹子
支持
收藏
0
快速回复
返回顶部
返回列表