手机应用
微信
微博
QQ群
普通登陆
QQ登录
找回密码
注册
登录
好友
帖子
收藏
道具
勋章
任务
搜索
搜索
本版
文章
帖子
用户
影像医生
也能
网上问诊
了
首页
社区
BBS
新闻
读片会
影像图库
锐滴达
医影在线
»
社区
›
影像读片
›
CT病例讨论
›
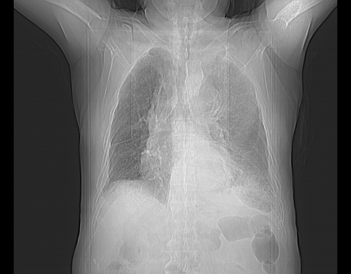
CT50521:男,88岁,反复咳喘10余年:
CT50521:男,88岁,反复咳喘10余年:
查看数:
1040
|
评论数:
8
|
收藏
0
关灯
|
提示:支持键盘翻页<-左 右->
帖子模式
组图打开中,请稍候......
收藏
0
赞同
0
反对
0
初学ct1
发布时间:
2015-5-27 12:19
正文摘要:
男,88岁,反复咳喘10余年,再发加重伴咯血10天。
回复
随光逐影
发表于
2015-5-28 11:55
1)
考虑左下肺周围型肺癌并阻塞性肺炎,纵隔淋巴结转移,左侧胸膜转移
。2)慢性支气管炎并肺部感染,肺气肿。3)双侧胸腔积液,以左侧为甚。4)升主动脉及主动脉弓钙化。
支持
1
收藏
0
mnbvcxz1234
发表于
2020-3-2 20:02
考虑左肺纵膈性肺癌并纵膈、心包周围淋巴结转移,胸膜转移,建议胸水化验
支持
收藏
0
施明
发表于
2015-6-1 15:25
占位
leiheku
发表于
2015-5-28 08:40
考虑左肺纵膈性肺癌并纵膈、心包周围淋巴结转移,胸膜转移,建议胸水化验
支持
收藏
0
shibing
发表于
2015-5-28 08:24
考虑左肺纵膈性肺癌并纵膈、心包周围淋巴结转移,胸膜转移,建议胸水化验
支持
收藏
0
zsl6918
发表于
2015-5-28 08:00
考虑左肺纵膈性肺癌并纵膈、心包周围淋巴结转移,胸膜转移,建议胸水化验
支持
收藏
0
xuejs
发表于
2015-5-27 13:27
考虑左侧占位,胸腔积液。
支持
收藏
0
科室第一人
发表于
2015-5-27 12:58
左下肺阻塞性病变并左侧胸腔积液。
支持
收藏
0
快速回复
返回顶部
返回列表