手机应用
微信
微博
QQ群
普通登陆
QQ登录
找回密码
注册
登录
好友
帖子
收藏
道具
勋章
任务
搜索
搜索
本版
文章
帖子
用户
影像医生
也能
网上问诊
了
首页
社区
BBS
新闻
读片会
影像图库
锐滴达
医影在线
»
社区
›
影像读片
›
CT病例讨论
›
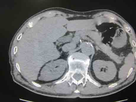
CT50526:肝脏钙化诊断什么病?
CT50526:肝脏钙化诊断什么病?
查看数:
1173
|
评论数:
11
|
收藏
0
关灯
|
提示:支持键盘翻页<-左 右->
帖子模式
组图打开中,请稍候......
收藏
0
赞同
0
反对
0
zxczxc
发布时间:
2015-5-27 19:18
正文摘要:
肝脏钙化诊断什么病?
回复
随光逐影
发表于
2015-5-28 15:01
考虑肝右叶感染性病变后遗改变。
支持
1
收藏
0
mnbvcxz1234
发表于
2020-3-2 19:49
肝包虫钙化?碘油栓塞治疗后?建议强化和结合临床病史
支持
收藏
0
施明
发表于
2015-6-1 15:15
包虫病
zkc2808
发表于
2015-5-28 22:15
包虫钙化可能
支持
收藏
0
muzi888
发表于
2015-5-28 10:32
支持大家,但肝脏占位碘油栓塞可能性大
来自安卓客户端
支持
收藏
0
leiheku
发表于
2015-5-28 10:08
肝包虫钙化?碘油栓塞治疗后?建议强化和结合临床病史
支持
收藏
0
shibing
发表于
2015-5-28 08:26
建议强化观察内部改变
支持
收藏
0
zsl6918
发表于
2015-5-28 07:50
建议强化观察内部改变
支持
收藏
0
赵毅_kc0Jm
发表于
2015-5-27 23:20
除考虑上述可能疾病外,还应排除是否进行肝脏肿瘤碘化油栓塞治疗。
支持
收藏
0
快速回复
返回顶部
返回列表