手机应用
微信
微博
QQ群
普通登陆
QQ登录
找回密码
注册
登录
好友
帖子
收藏
道具
勋章
任务
搜索
搜索
本版
文章
帖子
用户
影像医生
也能
网上问诊
了
首页
社区
BBS
新闻
读片会
影像图库
锐滴达
医影在线
»
社区
›
影像读片
›
CT病例讨论
›
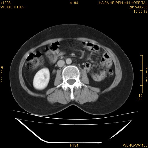
CT50570:膈疝,既往有手术史,具体不详
CT50570:膈疝,既往有手术史,具体不详
查看数:
1611
|
评论数:
10
|
收藏
0
关灯
|
提示:支持键盘翻页<-左 右->
帖子模式
组图打开中,请稍候......
收藏
0
赞同
0
反对
0
刘阿赵
发布时间:
2015-6-5 12:23
正文摘要:
膈疝,既往有手术史,具体不详
回复
施明
发表于
2015-6-8 14:10
什么手术
刘阿赵
发表于
2015-6-8 09:01
已行手术,左侧膈肌是完整的,是膈膨升
支持
收藏
0
shibing
发表于
2015-6-7 14:26
胸腔胃(左侧膈疝)右侧壶腹型肾盂。
支持
收藏
0
xiaobo126123
发表于
2015-6-6 22:57
胸腔胃(左侧膈疝)右侧壶腹型肾盂。
支持
收藏
0
天路人
发表于
2015-6-6 18:52
左侧膈膨升;左肾动静脉异常交通,动静脉瘘形成;右侧壶腹型肾盂。支持。
支持
收藏
0
jiangmin
发表于
2015-6-6 16:55
倾向:左侧膈膨升;左肾动静脉异常交通,动静脉瘘形成;右侧壶腹型肾盂
支持
收藏
0
刘阿赵
发表于
2015-6-6 13:18
1、左侧膈膨升。
2、左肾动静脉异常交通,动静脉瘘形成。
3、右侧肾盂轻度扩张,提示壶腹型肾盂。
支持
收藏
0
摘星空竹子
发表于
2015-6-5 23:13
1、右侧壶腹型肾盂。
2、胸腔胃。
支持
收藏
0
zsl6918
发表于
2015-6-5 12:54
建议查查右肾积水的原因
支持
收藏
0
快速回复
返回顶部
返回列表