手机应用
微信
微博
QQ群
普通登陆
QQ登录
找回密码
注册
登录
好友
帖子
收藏
道具
勋章
任务
搜索
搜索
本版
文章
帖子
用户
影像医生
也能
网上问诊
了
首页
社区
BBS
新闻
读片会
影像图库
锐滴达
医影在线
»
社区
›
影像读片
›
CT病例讨论
›
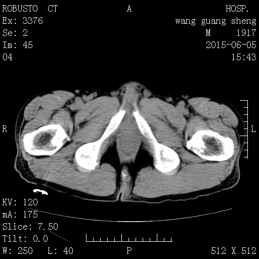
CT50574:右下腹部包块,请各位老师看看。 ...
CT50574:右下腹部包块,请各位老师看看。
查看数:
1036
|
评论数:
9
|
收藏
0
关灯
|
提示:支持键盘翻页<-左 右->
帖子模式
组图打开中,请稍候......
收藏
0
赞同
0
反对
0
ABC495612433
发布时间:
2015-6-5 16:55
正文摘要:
老年男性,无明显不适,一月前偶然触摸到右下腹部一包块
回复
施明
发表于
2015-6-8 13:51
结肠占位
胡宇
发表于
2015-6-7 14:52
ca可能性大
支持
收藏
0
shibing
发表于
2015-6-7 14:28
倾向于:病变范围广,淋巴瘤可能
支持
收藏
0
jiangmin
发表于
2015-6-6 16:39
倾向于:病变范围广,淋巴瘤可能
支持
收藏
0
leiheku
发表于
2015-6-6 11:28
结肠癌可能性大,建议行结肠镜检查进一步确诊。
支持
收藏
0
摘星空竹子
发表于
2015-6-5 22:39
病变范围较广泛,肠管柔软未见梗阻征象,考虑淋巴瘤可能性大。
支持
收藏
0
天路人
发表于
2015-6-5 19:34
结肠癌可能性大,建议行结肠镜检查进一步确诊。
支持
收藏
0
天路人
发表于
2015-6-5 19:34
结肠癌可能性大,建议行结肠镜检查进一步确诊。
支持
收藏
0
zsl6918
发表于
2015-6-5 17:02
考虑结肠间质瘤,建议强化或肠镜检查
支持
收藏
0
快速回复
返回顶部
返回列表