手机应用
微信
微博
QQ群
普通登陆
QQ登录
找回密码
注册
登录
好友
帖子
收藏
道具
勋章
任务
搜索
搜索
本版
文章
帖子
用户
影像医生
也能
网上问诊
了
首页
社区
BBS
新闻
读片会
影像图库
锐滴达
医影在线
»
社区
›
影像读片
›
CT病例讨论
›
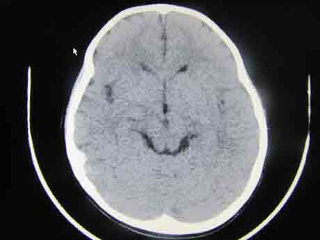
CT50602:右侧钙化诊断什么?
CT50602:右侧钙化诊断什么?
查看数:
1359
|
评论数:
10
|
收藏
0
关灯
|
提示:支持键盘翻页<-左 右->
帖子模式
组图打开中,请稍候......
收藏
0
赞同
0
反对
0
zxczxc
发布时间:
2015-6-10 13:24
正文摘要:
右侧钙化诊断什么?
回复
linjiajun
发表于
2015-6-29 19:56
右侧枕叶见弯曲的条带状钙化影,边界清,患侧颅骨骨质增厚,脑皮质萎缩,余脑实质及脑室、脑裂、脑沟均未见异常,中线结构居中。
意见:考虑颅三叉神经瘤,需与动静脉畸形鉴别,建议MRI
支持
收藏
0
施明
发表于
2015-6-16 11:22
难说
wsmg-自在
发表于
2015-6-11 22:35
脑血管瘤?建议增强或MRI
支持
收藏
0
sunbin
发表于
2015-6-11 09:40
右侧枕叶区可见弯曲条状及点状钙化,局部脑皮质增厚,考虑颅颜面血管瘤综合症。
支持
收藏
0
shibing
发表于
2015-6-11 08:35
颅面血管病?
支持
收藏
0
987654zwf
发表于
2015-6-10 21:19
瘤
来自安卓客户端
支持
收藏
0
987654zwf
发表于
2015-6-10 21:17
颅面血管病?
来自安卓客户端
支持
收藏
0
wlhlxy0000
发表于
2015-6-10 20:14
血管畸形?建议MRI
支持
收藏
0
天路人
发表于
2015-6-10 19:00
建议行MRI。
快速回复
返回顶部
返回列表