手机应用
微信
微博
QQ群
普通登陆
QQ登录
找回密码
注册
登录
好友
帖子
收藏
道具
勋章
任务
搜索
搜索
本版
文章
帖子
用户
影像医生
也能
网上问诊
了
首页
社区
BBS
新闻
读片会
影像图库
锐滴达
医影在线
»
社区
›
影像读片
›
CT病例讨论
›
CT50693:CT号26903
CT50693:CT号26903
查看数:
1584
|
评论数:
14
|
收藏
0
关灯
|
提示:支持键盘翻页<-左 右->
帖子模式
组图打开中,请稍候......
收藏
0
赞同
0
反对
0
vinesion
发布时间:
2015-6-16 09:35
正文摘要:
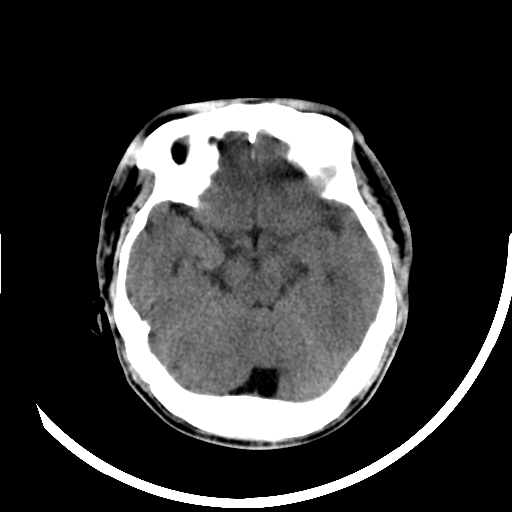
本帖最后由 cefcmj 于 2015-6-16 20:53 编辑 神志不清,检查。胸部平片示双肺见模糊阴影。现请求会诊,谢谢!!
回复
raoxi5070
发表于
2015-6-18 22:30
转移可能
shibing
发表于
2015-6-18 08:46
脑梗赛可能,建议mR增强
支持
收藏
0
xiaobo126123
发表于
2015-6-18 00:00
转移可能
arven
发表于
2015-6-17 18:49
支持脑梗塞。
支持
收藏
0
施明
发表于
2015-6-17 09:04
梗塞 结节硬化
支持
收藏
0
zkc2808
发表于
2015-6-17 06:51
脑梗赛可能,建议mR增强
支持
收藏
0
冷月游云
发表于
2015-6-17 01:02
目前怎么考虑呢 除了建议增强
来自苹果客户端
支持
收藏
0
摘星空竹子
发表于
2015-6-16 22:44
梗塞可能,建议增强扫描。
支持
收藏
0
leiheku
发表于
2015-6-16 14:53
转移可能,建议强化
支持
收藏
0
快速回复
返回顶部
返回列表