医影在线

搜索

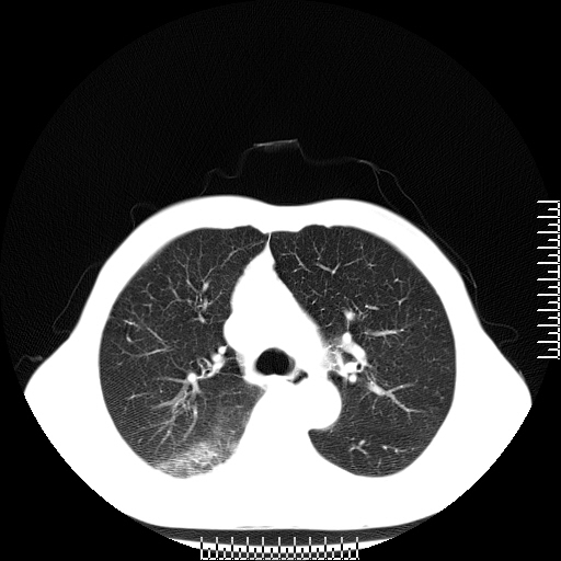
CT50771:肺部病变,手术病理结果已公布

查看数: 1548 | 评论数: 14 | 收藏 1
关灯 | 提示:支持键盘翻页<-左 右->
    组图打开中,请稍候......
发布时间: 2015-7-1 07:34

正文摘要:

本帖最后由 cefcmj 于 2015-7-10 08:27 编辑 (病理结果: http://www.radida.com/bbs/forum. ... d=126553&extra=) 性别:男 年龄:67岁 主 诉:咳嗽、咯血4天 现病史:4天前无诱因出现咳嗽,咯血,一日10口 ...

回复

浪漫三月 发表于 2015-12-16 16:52
好病例
niedajun 发表于 2015-7-20 18:37
学习了!!!!!!!!!!!!!!!!!
pujunzhi 发表于 2015-7-14 11:06
[病理诊断] CT50771:右肺中分化鳞状细胞癌。
无为胡 发表于 2015-7-2 21:01
无为胡 发表于 2015-7-2 21:00
支扩伴感染,肺泡出血?
来自安卓客户端来自安卓客户端
天路人 发表于 2015-7-2 19:39
考虑右肺下叶背段周围型肺癌并癌性空洞形成,右肺下叶肺泡积血。支持。
随光逐影 发表于 2015-7-2 17:43
考虑右肺下叶背段周围型肺癌并癌性空洞形成,右肺下叶肺泡积血。
摘星空竹子 发表于 2015-7-2 15:02
本帖最后由 摘星空竹子 于 2015-7-2 15:08 编辑

考虑继发性肺结核伴空洞形成、肺出血。
shibing 发表于 2015-7-2 14:22
结核伴空洞形成?
快速回复 返回顶部 返回列表